Хмельницкий

Комплексное лечение заболеваний десен - от 500 грн

(Стоматологическая клиника VA Clinic, Хмельницкий)

от 500 грн

за процедуру

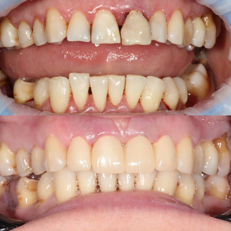
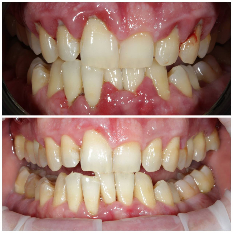
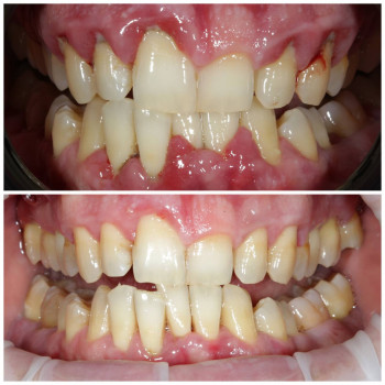
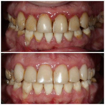
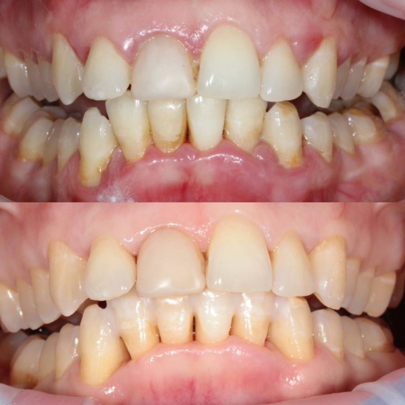
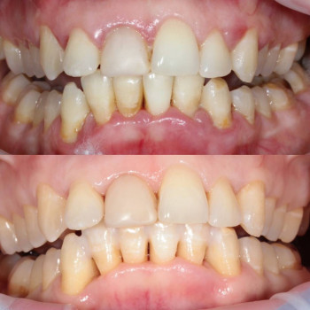
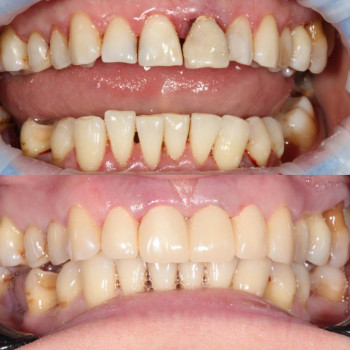
Терапия гингивита и пародонтита. Устранение кровоточивости и воспаления десен.

Пародонтологическое лечение направлено на устранение запаления ясен, кровоточивости, неприемлемого запаха и рухлости зубов. Показано при гингивите и пародонтите на разных стадиях. Лечение включает профессиональную чистку, хирургию пародонтальных заболеваний и медикаментозную терапию. Протипоказання определяется индивидуально. Результат  уменьшение запаления, уменьшение ясеня и сбережение власних зубов.

Вы владелец?


к управлению страницей

Нашли ошибку?