Харьков

Рената Абдюшева (Харьков)

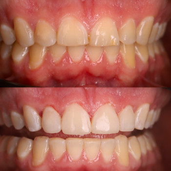
Ортодонт

Главное о специалисте

Основная специальность: Ортодонт

Дополнительные специализации: Стоматолог, детский стоматолог, стоматолог-имплантолог

Ключевые направления: стоматология

✅️ Формат работы: Клиника по адресу Провулок Лосівський, 2, (м. Центральный рынок)

Имеет профиль на Barb c 07.02.2025 (11 месяцев)

  Просмотры: 566

  Звонков: 13

Услуги и цены доктора Рената Абдюшева (28)

Стоматология (28)
Лечение зубов ✔️
Лечение каналов от 1500 грн.
Лечение кариеса от 200 грн.
Лечение пульпита 1600 грн.
Реставрация зубов от 1600 грн.
Установка пломбы ✔️
Установка фотополимерной пломбы от 1900 грн.
Ортодонтия ✔️
Установка брекетов ✔️
Брекеты Damon 20000 грн.
Керамические брекеты 8000 грн.
Металлические брекеты 7200 грн.
Самолигирующие брекеты от 12000 грн.
Протезирование зубов ✔️
Виниры ✔️
Керамические виниры от 14500 грн.
Коронки ✔️
Металлокерамические коронки 4500 грн.
Циркониевые коронки 10000 грн.
Съемные протезы от 2100 грн.
Бюгельный протез 18000 грн.
Нейлоновые протезы 12000 грн.
Профилактика заболеваний зубов ✔️
Профессиональная чистка зубов от 1000 грн.
Хирургическая стоматология ✔️
Имплантация зубов 15000 грн.
Эстетическая стоматология ✔️
Отбеливание зубов 3500 грн.
Подключить тариф

Рената Абдюшева

Я предлагаю услуги ортодонтии, имплантации, протезирования и реставрации зубов для взрослых и детей. Лечение под седацией позволяет обеспечить максимальный комфорт и безболезненность для моих пациентов. Ваше здоровье и улыбка - моя лучшая награда!

Адрес

Клиника
Украина, Харьковская область, Харьков, Холодногорский р-н, Провулок Лосівський, 2
   Центральный рынок
   Показать график работы
Нет четкого графика
Показать контакты мастера

Адреса салона

Клиника

M Центральный рынок
Харьков,  Холодногорский р‑н, Провулок Лосівський, 2
Показать график работы
Нет четкого графика

Вы владелец?


к управлению страницей

Нашли ошибку?