Харьков
400 грн

за процедуру

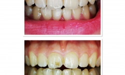
Чистка зубів Air Flow

Air Flow – це метод професійного чищення зубів за допомогою спеціального апарату і повітряно-водно-порошкової суміші. Цей склад чудово справляється з видаленням зубного нальоту.

Наліт утворюється на зубах, коли ми їмо, п’ємо чай або каву. Не завжди зубний наліт можна видалити при домашньому чищенні зубів. Особливо показана така процедура людям зі скупченістю зубів, також перед лікуванням карієсу, пульпіту і періодонтиту, перед протезуванням і відбілюванням і тим, хто носить брекети. У цих випадках проводити належну гігієну в домашніх умовах буває складно.

Чищення зубів Air Flow – один з етапів професійної гігієни порожнини рота, поряд з видаленням зубного каменю, фторування. Процедура абсолютно комфортна і безпечна.

Харьков, Шевченковский р-н,
Ахсарова, 13
M Алексеевская
Смотреть на карте Связаться

Вы владелец?


к управлению страницей

Нашли ошибку?