Кривой Рог

Вальгусная деформация большого пальца стопы - 600 грн

(Кинезитерапевт Сергей, Кривой Рог)

600 грн

за процедуру

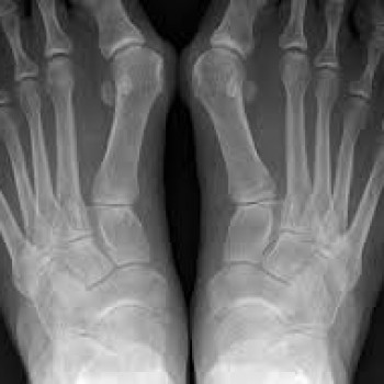
Болезненные ощущения в области большого пальца стопы вызванные отклонением большого пальца внутрь.

Существует множество разных направлений по лечению вальгусной деформации большего пальца стопы.

Это вызвано поперечным плоскостопием, в результате которого происходит распластание плюсневых костей, расширение передней части стопы и отклонение большого пальца внутрь – вальгусное отклонение.

Я с этим в корне не согласен, потому что мышцы приводящие большой палец к этому не имеют косвенного отношения. Вся причина в укороченной мышце длинного разгибателя большого пальца. Здесь мышцы приводящие большой палец пере растягиваются. Обратите внимание как уходит наружу плюсневая кость. Прикладная кинезиология доказывает, что это так. Мы это делаем на практике, находим причину укорочения мышцы или мышц на обеих ногах. На первой и второй стадии развития заболевания можно успешно устранить эту проблему. При третьей стадии уже необходимо будет дополнительно прибегнуть к дополнительным процедурам способным убрать воспалительный процесс.

График работы
Пн Выходной
Вт 09:00 – 17:00
Ср 09:00 – 17:00
Чт 08:00 – 17:00
Пт 08:00 – 17:00
Сб 08:00 – 17:00
Вс 17:00 – 17:00
Частный кабинет
Кривой Рог, Покровский р-н,
Федора Караманиць (Ватутина) 72, кв.2
Смотреть на карте   Записаться

Вы владелец?


к управлению страницей

Нашли ошибку?