Основная специальность: Стоматолог
Ключевые направления: стоматология
✅️ Формат работы: Клиника
Имеет профиль на Barb c 30.10.2020 (5 лет)
Просмотры: 1211
Звонков: 52
| Стоматология (7) | |
|---|---|
| Эстетическая стоматология | ✔️ |
| Отбеливание зубов | ✔️ |
| Лечение зубов | ✔️ |
| Лечение кариеса | ✔️ |
| Реставрация зубов | ✔️ |
| Установка пломбы | ✔️ |
| Установка фотополимерной пломбы | ✔️ |
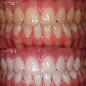
Посмішки моїх пацієнтів не відрізнити від посмішок голлівудських зірок. Лікування карієсу без використання бору і пломбування - міф, чи реальність? Все реально! Ми можемо полікувати карієс без анестезії, використання бору та пломбування всього за один візит. Біла пляма - це початковий карієс. На ранніх стадіях карієс можна полікувати малоінвазивно.
|
Вы владелец?
Нашли ошибку?
19.05.2025 Ліна Шур
Леся Рудейко це не стоматолог, а майже справжня чаклунка! Тільки в неї можна полікувати карієс без анестезії, не використовуючи бор та без пломб. Мені спочатку теж в це не вірилось, поки не спробувала, тепер я знаю, що це можливо. Головне, помітити карієс відразу, на початку. А для цього треба регулярно відвідувати стоматолога.