Львов

Тимчасова пломба - 100 грн

(Стоматолог , Львов)

100 грн

за процедуру

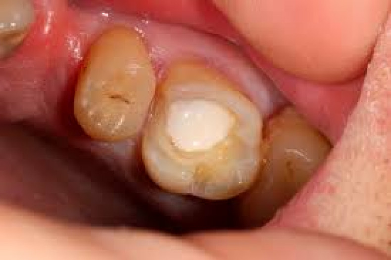
Тимчасова пломба

Тимчасова пломба ставиться на різних етапах лікування зуба, коли кладуть ліки при лікуванні запальних процесів ( пульпіту) запалення нерва, періодонтиту, щоб підготувати канали для подальшого лікування. Перевірити зуб на герметизм( чи витримує з пломбою. Одночас і барʼона функція щоб в порожнину зуба не попадало залишків їжі , бактерій

В учреждении:
Львов, Шевченковский р-н,
Львів
ещё 1 адрес

Шевченковский р-н

Варшавська 64

Смотреть на карте   Записаться

Вы владелец?


к управлению страницей

Нашли ошибку?