Киев

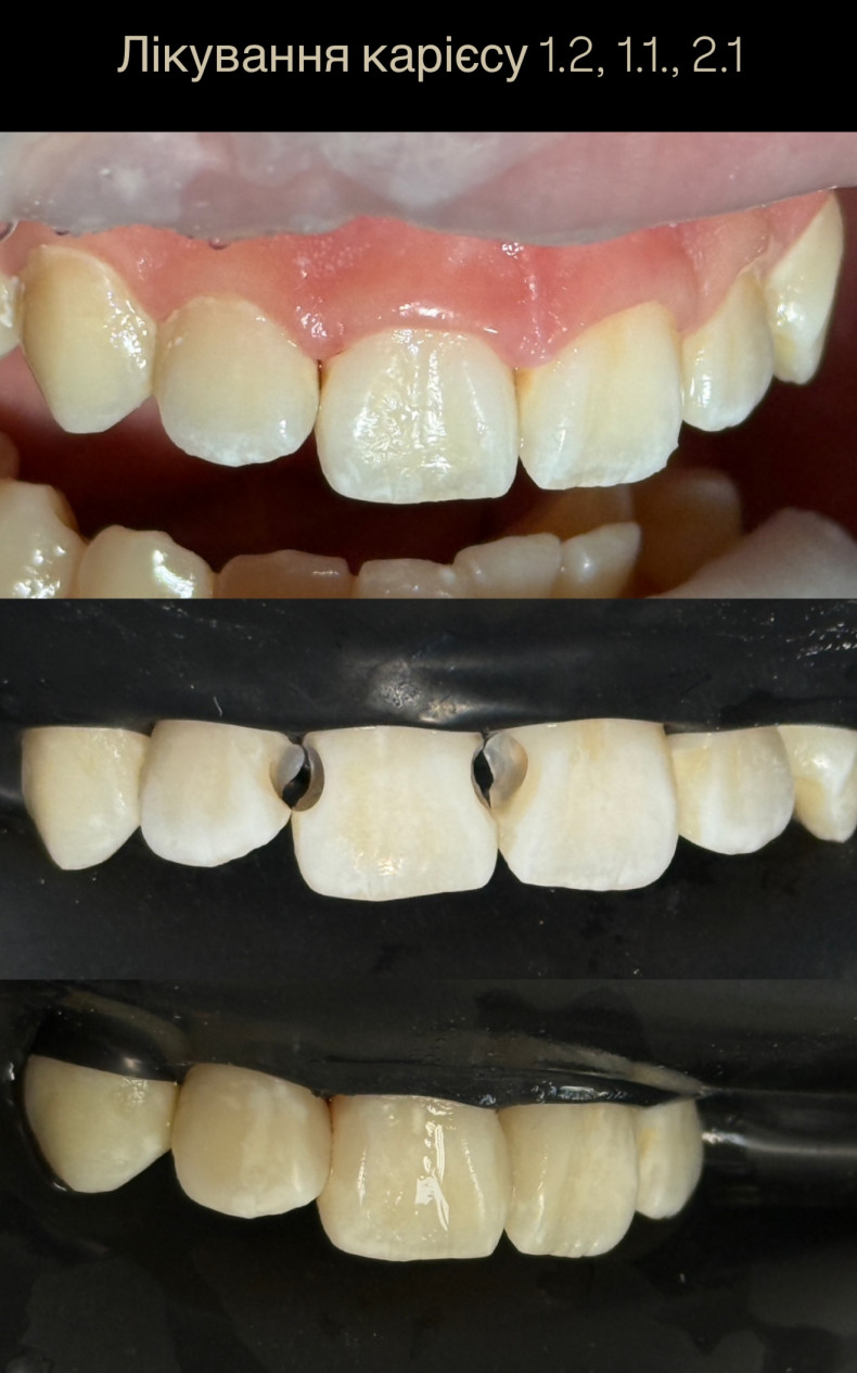
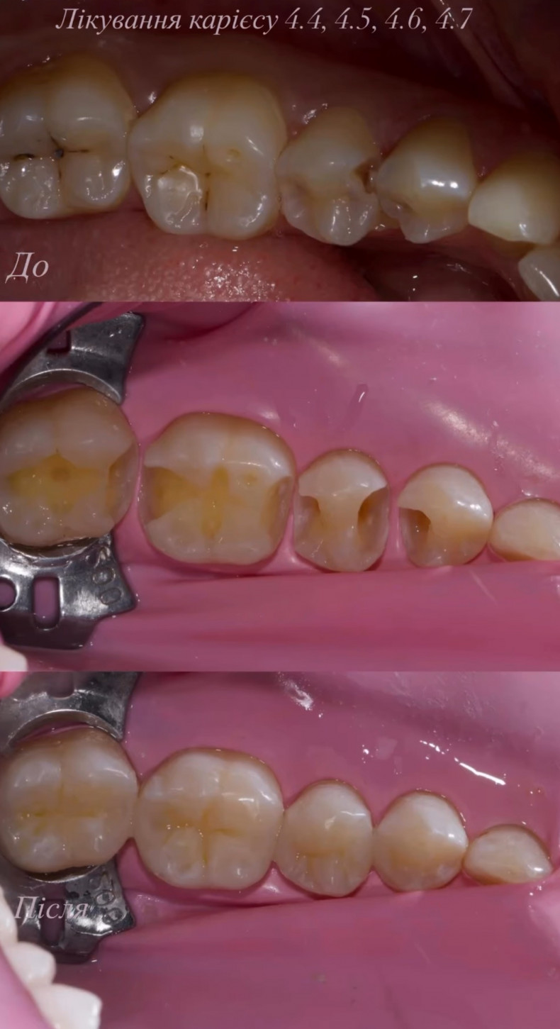
Лікування карієсу - от 2200 грн

(Стоматолог Надія, Киев)

от 2200 грн

за процедуру

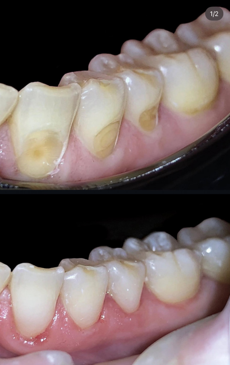
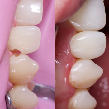
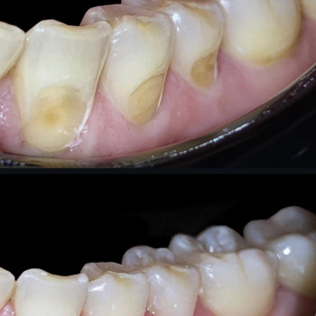
Лікування карієсу проводимо під мікроскопом - це дозволяє працювати максимально точно та щадно: я бачу навіть найдрібніші ураження, видаляю лише пошкоджені тканини, зберігаючи здорові. Завдяки цьому відновлення зуба виходить більш надійним і довговічним. Для реставрації використовую сучасні матеріали, що відтворюють природний колір і прозорість емалі. У результаті зуб виглядає естетично, зберігає свою форму та повноцінно виконує функцію при жуванні.

Лікування карієсу під мікроскопом – це сучасний підхід, який поєднує високу точність і максимально щадне відновлення зуба.

 

🔹 Мікроскоп дає багаторазове збільшення, завдяки чому я бачу навіть найдрібніші ураження, які часто непомітні неозброєним оком. Це дозволяє видаляти тільки уражені тканини, зберігаючи здорові, що продовжує “життя” зуба.

 

🔹 Ретельна очистка каріозної порожнини під контролем збільшення зменшує ризик повторного карієсу та робить лікування більш прогнозованим.

 

🔹 Відновлення естетики: використовую сучасні композитні матеріали, які повторюють природний колір, прозорість та текстуру емалі. Пломба стає непомітною й гармонійно поєднується з зубним рядом.

 

🔹 Відновлення функції: форму зуба відтворюю так, щоб він правильно замикався у прикусі й витримував жувальне навантаження. Це важливо не тільки для довговічності пломби, але й для комфорту пацієнта.

 

У результаті зуб виглядає природно, зберігає свою міцність та функцію, а ризик ускладнень у майбутньому значно знижується.

 

График работы
Пн 08:00 – 17:00
Вт 08:00 – 17:00
Ср 08:00 – 17:00
Чт 08:00 – 17:00
Пт 08:00 – 17:00
Сб Выходной
Вс Выходной
В учреждении:
Киев, Шевченковский р-н,
ЖК Файна Таун (Салютна 2)
Смотреть на карте   Записаться

Вы владелец?


к управлению страницей

Нашли ошибку?