(Стоматологическая клиника Smile Lab Odessa, Одесса)
за процедуру
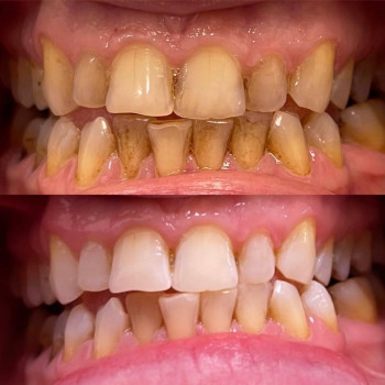
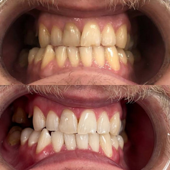
Все мы хотим иметь красивую и яркую улыбку,все это мы вам поможем реализовать у нас в студии 😇🥳🤍
Безболезненно и безвредно для ваших зубов, замечательная процедура которая занимает всего час вашего времени)
Вы владелец?
Нашли ошибку?
Все стоматологических клиник в Одессе
Скидки до 80% от салонов и мастеров!
Удалите из текста слово:
Для использования названия торговой марки Endosphere отправьте модератору серийный номер оборудования и фото сертификата на почту:
{{ city.name }}