Полтава

Аполлония (Полтава)

Стоматологическая клиника

Главное об организации

Тип заведения: Стоматологическая клиника

Дополнительно: Обучающий центр, детская стоматология

Ключевые услуги: стоматология

Расположение: Шевченковский район

Имеет профиль на Barb c 28.01.2025 (11 месяцев)

  Просмотры: 363

  Звонков: 6

Услуги и цены клиники Аполлония (33)

Стоматология (33)
Лечение пульпита ✔️
Наращивание зубов ✔️
Реставрация зубов ✔️
Установка пломбы ✔️
Временная пломба ✔️
Пломбирование каналов ✔️
Установка фотополимерной пломбы ✔️
Протезирование зубов ✔️
Профилактика заболеваний зубов ✔️
Профессиональная чистка зубов ✔️
Чистка зубного камня ✔️
Чистка зубов Air Flow ✔️
Чистка зубов ультразвуком ✔️
Фторирование зубов ✔️
Хирургическая стоматология ✔️
Эстетическая стоматология ✔️
Отбеливание зубов ✔️
Диагностика зубов ✔️
Компьютерная томография зубов ✔️
Ортопантомограмма зубов ✔️
Рентген зубов ✔️
Лечение десен ✔️
Вектор-терапия ✔️
Лечение гингивита ✔️
Лечение десен лазером ✔️
Лечение пародонтита ✔️
Лечение пародонтоза ✔️
Лечение зубов ✔️
Лечение зуба во сне ✔️
Лечение зубов под микроскопом ✔️
Лечение каналов ✔️
Лечение каналов под микроскопом ✔️
Лечение кариеса ✔️
Подключить тариф

Аполлония

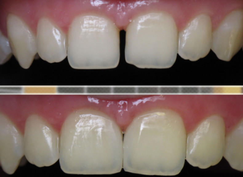
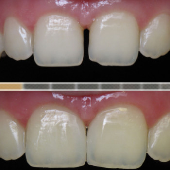
Клиника-студия "Аполлония" специализируется на художественной реставрации зубов. За 30 лет работы врачи "Аполлонии" завоевали право называться лучшими в своем деле. Это подтверждают как пациенты клиники, так и другие врачи-стоматологи, прошедшие обучение на базе учебного центра "Аполлония". Стремление сохранить каждый живой зуб витальным, избегая имплантации и протезирования - одно из основных преимуществ "Аполлонии".

Адрес клиники

Украина, Полтавская область, Полтава, Шевченковский р-н, Степового Фронту, 29
   Показать график работы
Пн 09:00 – 19:00
Вт 09:00 – 19:00
Ср 09:00 – 19:00
Чт 09:00 – 19:00
Пт 09:00 – 19:00
Сб Выходной
Вс Выходной
Показать контакты мастера

Адреса салона

1

Полтава, Шевченковский р-н

Степового Фронту, 29
Показать график работы
Пн 09:00 – 19:00
Вт 09:00 – 19:00
Ср 09:00 – 19:00
Чт 09:00 – 19:00
Пт 09:00 – 19:00
Сб Выходной
Вс Выходной

Вы владелец?


к управлению страницей

Нашли ошибку?