Тернополь

Оля Філіппова (Тернополь)

Ортодонт

Главное о специалисте

Основная специальность: Ортодонт

Дополнительные специализации: Стоматолог

✅️ Формат работы: Стоматологическая клиника "TriODent" по адресу вулиця Карпенка, 40; Стоматологическая клиника "TriODent" по адресу вулиця Генерала Мирона Тарнавського, 32

Имеет профиль на Barb c 15.05.2022 (3 года)

  Просмотры: 591

  Звонков: 54

Подключить тариф

Оля Філіппова

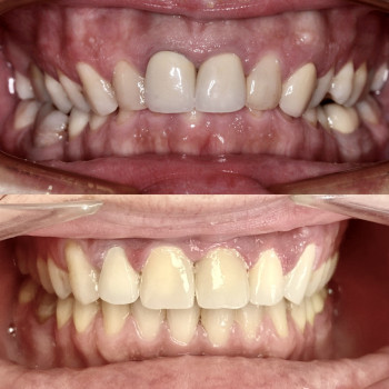
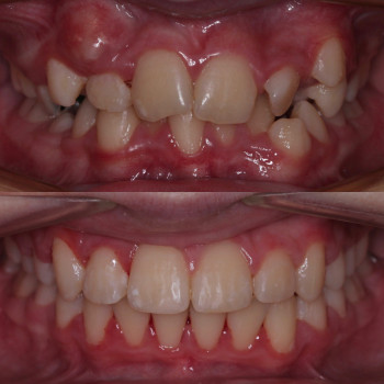
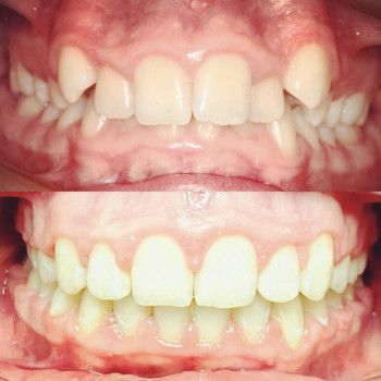
Я – Філіппова Ольга, ортодонт.

Нехай це звучить банально, але я справді дуже люблю свою професію. Розпочала свій шлях 15 років назад і продовжую його до сьогодні.Я завжди  мріяла стати ортодонтом, адже завжди хотіла створювати красиві усмішки, хотіла сама долучитися до цього майже чарівного процесу. Але для того, щоб досягнути чогось в житті, потрібно не лише мріяти,але й натхненно і багато працювати, самовдосконалюватися. Саме це я роблю протягом багатьох років.

Тепер моя мрія здійснена,я Ортодонт!!!🦋

Адрес (2)

Стоматологическая клиника "TriODent"
Украина, Тернопольская область, Тернополь, вулиця Карпенка, 40
   Показать график работы
Нет четкого графика
Стоматологическая клиника "TriODent"
Украина, Тернопольская область, Тернополь, вулиця Генерала Мирона Тарнавського, 32
   Показать график работы
Нет четкого графика
Показать контакты мастера

Адреса салона (2)

Стоматологическая клиника "TriODent"

Тернополь, вулиця Карпенка, 40
Показать график работы
Нет четкого графика

Стоматологическая клиника "TriODent"

Тернополь, вулиця Генерала Мирона Тарнавського, 32
Показать график работы
Нет четкого графика

Вы владелец?


к управлению страницей

Нашли ошибку?