Основная специальность: Стоматолог
Дополнительные специализации: Пародонтолог
💼 Опыт работы: 8 лет (с 2017 года)
✅️ Формат работы: Клиника по адресу Ужгород, вул. Університетська
Имеет профиль на Barb c 25.11.2021 (4 года)
Просмотры: 220
Звонков: 23
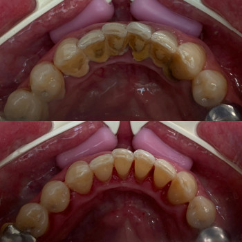
Я, лікар-стоматолог, пародонтолог.
Займаюся лікуванням карієсу, реставраціями зубів, відбілюванням зубів, лікуванням каналів, професійною гігієною ротової порожнини, пародонтологічним лікуванням - лазерне лікування захворювань ясен та пародонту.
У своїй практиці використовую тільки найкращі матеріали та найсучасніші протоколи лікування!
Буду рада допомогти !
|
|
|
||
25.05.2022 Андріана
Дуже задоволена Данко Е.М.!
Зробивши перший крок в кабінет, можна відчути приємну атмосферу та охайність.
Лікар-стоматолог дуже привітна, чуйна та дружелюбна (страх зникає☺️).
Дякую за професіоналізм та якісну роботу!
Щиро рекомендую👍👍👍і буду звертатись ще😊
24.05.2022 Анастасія
Дуже рекомендую лікарку Ельвіру Михайлівну! Вже кілька зубів пролікувала, зробила чистку і надзвичайно задоволена. Зуби лікувала з паузами, тому можу сказати, що результат надійний. А ще, що для мене було надзвичайно важливо - це ставлення лікаря! Відчуваю на прийомі турботу, увагу і довіру. Досвід відвідування стоматологів в мене чималий - пластинки, брекети, операції, знову пластинки, карієс, пломби, реставрації, чистки… Чого лише не було. Лікарів я також мала різних. Зараз щоразу обираю лише Ельвіру Михайлівну і рекомендую всім друзям! Мені пропонують матеріали найвищої якості на вибір, розповідають про процес роботи, показують, що цікавить, грає приємна музика, а лікарка робить все ніжно і акуратно. Зубки завжди красиві та доглянуті)) І важливо - навіть після анестезії нічого не болить! Як же довго я шукала такого лікаря!
А ще, саме ця лікарка таки привчила нашу сім‘ю користуватись зубною ниткою та ополіскувачами для роту! 😁 Тепер щодня окрім чищення у нас є ці дві процедури)
| Ужгород, Правобережный р‑н, Ужгород, вул. Університетська | |||||||||||||||
Показать график работы
|
|||||||||||||||
Вы владелец?
Нашли ошибку?
21.08.2025 Наталія
Вразив професійний та надзвичайно персоніфікований підхід. Сподобався ретельний огляд, дбайливе ставлення до мене як до пацієнтки та врахування усіх деталей, вичерпні відповіді на всі мої питання та корисні поради, при цьому ненав‘язливі та делікатні. Особлтву увагу заслуговує приємний дизайн кабінету та чудовий вид з вікна:)
Візит пройшов у теплій невимушеній атмосфері, наче приємна зустріч, а не візит до лікаря.