Ужгород

Лілія Білинець (Ужгород)

Ортодонт
Рейтинг 10/10 (1 отзыв)  

Главное о специалисте

Основная специальность: Ортодонт

Дополнительные специализации: Стоматолог

Ключевые направления: стоматология

✅️ Формат работы: Клиника по адресу вул. Заньковецька 48 А

Имеет профиль на Barb c 31.10.2020 (5 лет)

  Просмотры: 801

  Звонков: 50

Услуги и цены доктора Лілія Білинець (7)

Стоматология (7)
Диагностика зубов ✔️
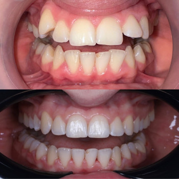
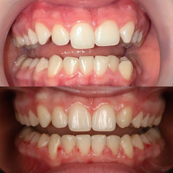
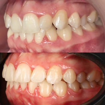
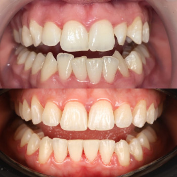
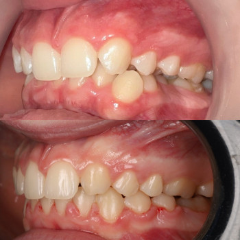
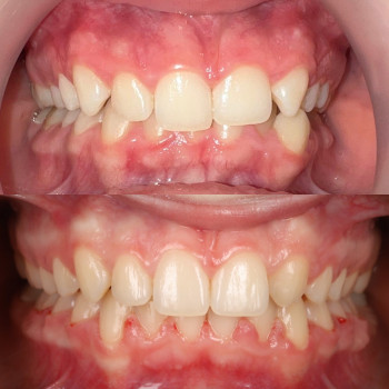
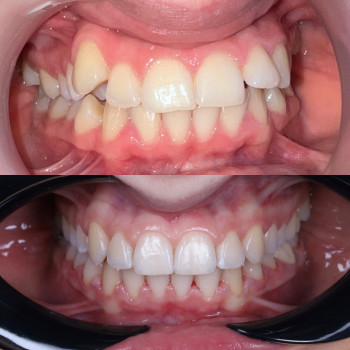
Ортодонтия ✔️
Установка брекетов ✔️
Керамические брекеты ✔️
Металлические брекеты ✔️
Трейнеры ✔️
Ретейнеры ✔️
Подключить тариф

Лілія Білинець

Стоматолог-ортодонт

Адрес

Клиника
Украина, Закарпатская, Ужгород, вул. Заньковецька 48 А
   Показать график работы
Нет четкого графика


Показать контакты мастера

Вы владелец?


к управлению страницей

Нашли ошибку?