Винница

Професійна гігієна - от 600 грн

(Стоматологическая клиника , Винница)

от 600 грн

за процедуру

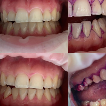
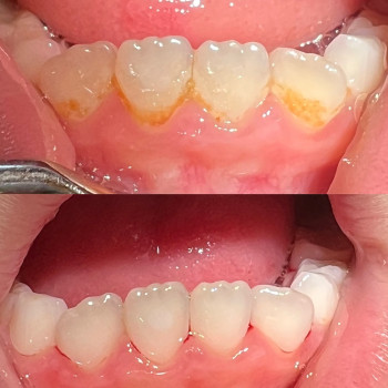
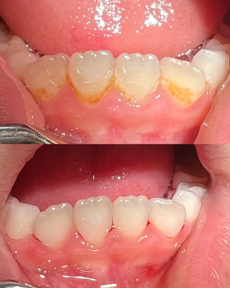
Гарна гігієна порожнини рота- основа стоматологічного здоровʼя 600

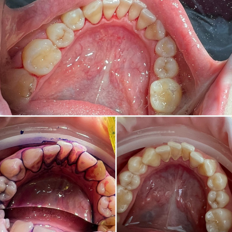
Оригінальні апарати та матеріали для професійної гігієни. Ніяких щіточки та паст, це ви можете використовувати вдома . Air-Flow від EMS ,  оригінальний Швейцарський апарат в поєднанні з оригінальним порошком = ідеальний результат в комфортних умовах. Проводимо процедуру з 5 років. 

Кровоточивість ясен? Неприємний запах з рота? Допоможемо виправити вже зараз . 

Записуйтесь на консультацію та професійну гігієну вже зараз. Це перший крок до щасливих посмішок

Діткам важлива професійна гігієна кожні 3 місяці. При відмінній домашній гігієні раз в 6 місяці. 

Дорослим для підтримки здоровʼя ясен та білизни зубів раз на 6 місяців .

Винница, Правобережный р-н,
вул. Трамвайна 3в
Смотреть на карте   Записаться

Вы владелец?


к управлению страницей

Нашли ошибку?