Черкассы

Формула 1 (Черкассы)

Стоматологическая клиника

Главное об организации

Тип заведения: Стоматологическая клиника

Дополнительно: Детская стоматология

Ключевые услуги: стоматология

Использует бренды: Beyond

Расположение: Приднепровский район

Имеет профиль на Barb c 21.10.2022 (3 года)

  Просмотры: 3567

  Звонков: 101

Услуги и цены клиники Формула 1 (4)

Консультация 150 грн.
Стоматология (4)
Удаление зубов от 400 грн. / 30 мин
Лечение кариеса от 500 грн. / 60 мин
Плазмотерапия десен 1000 грн. / 30 мин
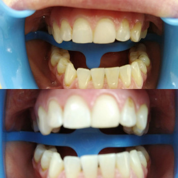
Лазерное отбеливание зубов 3000 грн. / 30 мин
Подключить тариф

Формула 1

Основательница стоматологии - врач Забайрачная Елена Сергеевна, стоматолог в третьем поколении. Наследница 100-летней стоматологической династии.

Профессиональный эстетический стоматолог, персональный эстетический anti-age стоматолог, ортопед 1 категории, член ассоциации имплантологов-стоматологов Украины

Мы дарим зубам будущее!

Многие наши пациенты выбрали полное обновление зубов с помощью пломб, коронок или имплантатов, и привели свои зубы в порядок на будущее 10-15 лет.

Диагностика зубов – основа доверия

Современная диагностика – залог успешного лечения зубов. Необходимую диагностику зубов можете пройти в стоматологии Формула 1.

Работаю с косметикой:
  • Beyond

Адрес клиники

Украина, Черкасская область, Черкассы, Приднепровский р-н, Чехова 53/1
   Показать график работы
Пн 08:00 – 17:00
Вт 08:00 – 17:00
Ср 08:00 – 17:00
Чт 08:00 – 17:00
Пт 08:00 – 17:00
Сб 10:00 – 16:00
Вс Выходной

Скидки

Бессрочная акция

Показать контакты мастера

Адреса салона

1

Черкассы, Приднепровский р-н

Чехова 53/1
Показать график работы
Пн 08:00 – 17:00
Вт 08:00 – 17:00
Ср 08:00 – 17:00
Чт 08:00 – 17:00
Пт 08:00 – 17:00
Сб 10:00 – 16:00
Вс Выходной

Вы владелец?


к управлению страницей

Нашли ошибку?