Черновцы

Врачи Черновцов — 51 специалист

Сортировать
Фильтр
Найдено 51 специалист

на Barb уже 1 г. 10 мес.

Другое
"центр подологіі"
Черновцы, Шевченковский р-н,
проспект Незалежності 107

Смотреть на карте
Выезжаю к клиенту
23 звонка

Решаю проблемы: вросшего ногтя, бородавки, стержневые мозоли, грибковые поражения, диабетические стопы, псориатическая ониходистрофия, псориаз ладоней.

Консультация - 350 грн.

127

на Barb уже 5 л. 6 мес.

Полная запись
Организация
Черновцы, Первомайский р-н,
Провулок Казарменний 7

Смотреть на карте
9.9 баллов
62 звонка

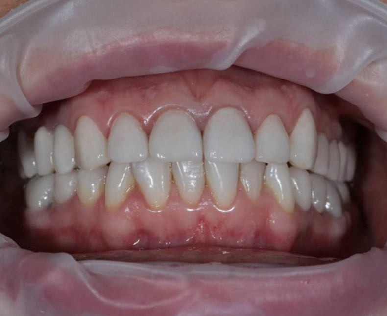
Практикую общую стоматологию с 2013 года. Постоянно усовершенствую свои знания. Работу выполняю с любовью и вкладываю душу) 

Маргарита, отзыв от 14.07.2024:

Була 2 дні тому чистка від каменів, дуже задоволена роботою

Все отзывы (8) ➡️
1189

на Barb уже 4 г. 1 мес.

Медицинские услуги
"Ortolife"
Черновцы, Подольский р-н,
Байди Вишневецького 3/б

Смотреть на карте
10 баллов

Подология, работа с проблемной стопой (трещины, мозоли, вросший ноготь, онихолизис, онихомикоз, бородавки, диабетическая стопа) Установка коррекционной системы при врастании ногтя. (титановая нить) Опыт работы более 3 лет

🎁 Cкидка 5% по промокоду Barb
Вікторія, отзыв от 12.09.2024:

Наталія професійно підійшла до вирішення моєї проблеми з тріщинами на п’ятах. Вже через кілька днів побачила значне покращення. Дякую за допомогу!

Все отзывы (14) ➡️
861

Нужны клиенты?

Разместить услуги

на Barb уже 7 л. 4 мес.

Ногтевая студия
Черновцы, Шевченковский р-н,
Ровенская, 5а, 2 этаж

Смотреть на карте
10 баллов
113 звонков

Аппаратный педикюр, лечение вросших ногтей, протезирование ногтей, аппаратный маникюр.  В работе используется безопасная техника и специальные профессиональные педикюрные инструменты. Обработка проводится аппаратом со встроенным пылесосом, который собирает ороговевшие частички.  

Юрий, отзыв от 26.08.2025:

Лечил у Кристины вросший ноготь. Результатом доволен. Кристина большой молодец и профессионал своего дела. Успеха Вам. Спасибо.

Все отзывы (2) ➡️
3268

на Barb уже 5 л. 4 мес.

Стоматология
"Сімейна стоматологія Дантист"
Черновцы, Шевченковский р-н,
Богомольця 10/1

Смотреть на карте
25 звонков

Я лікар стоматолог гігієніст, терапевт, ортодонт (пластинки дитячі)

Консультация - от 250 грн.

🎁 Cкидка 5% по промокоду Barb
529

на Barb уже 5 л. 1 мес.

Работаю
Массажный салон
"HEALING TOUCH"
Черновцы, Шевченковский р-н,
Героїв Майдану 31

Смотреть на карте
Выезжаю к клиенту
63 звонка

Мастер Гузун Денис Олегович (высшее врачебное образование по специальности Невролог, реабилитолог, диплом мастера школы массажа Инь-Янь в 2016, мануальный терапевт, в прошлом фельдшер скорой помощи):
🏅 Массаж (диагностика тела + рекомендации по оздоровлению – входит во все разновидности массажа из нашего списка)
🏅 Мануальная терапия (вправление смещений и декомпрессия позвонков, снятие ущемлений)
🏅 Реабилитация (с выездом...

Консультация - от 200 грн.

🏷️ Акция! Приведи друга та отримай - 50%

622

на Barb уже 2 г. 9 мес.

Стоматология
"Стоматологія"
Черновцы, Садгорский р-н,
Гагаріна 39

Смотреть на карте
100 звонков

Послуги: Терапевтичні Видалення зубів мудрості Професійна гігієна ротової порожнини Ортопедія

Консультация - от 150 грн.

149

на Barb уже 1 г. 10 мес.

Организация
Черновцы, Первомайский р-н,
Гоголя, 1

Смотреть на карте
10 баллов
7 звонков

Вросший ноготь - решение проблемы. Грибок ногтей и стоп. Обработка мозолей, бородавок. В настоящее время я являюсь членом "Ассоциации подологов Украины, у меня более 700 довольных клиентов и это не конец, а только начало. Стаж работы - 4 года.

Людмила, отзыв от 07.04.2026:

Щиро дякую пані Людмилі. Процедура видалення врослого нігтя пройшла безболісно. Все чисто, стерильно.

Все отзывы (1) ➡️
122

на Barb уже 7 л. 4 мес.

Организация
Черновцы, Первомайский р-н,
28 Червня, 25

Смотреть на карте
10 баллов
100 звонков

Пропоную послуги пластичного хірурга. Виконую високоякісні нехірургічні антивікові коррекції.  Маю закордонну  освіту та використовую тільки безпечні методики. За всіма питаннями звертайтесь по телефону або в директ.

Анна, отзыв от 27.05.2025:

Сегодня увеличила губы у доктора Юрия Фундюра и решила оставить свой отзыв и поделиться своими впечатлениями. Очень чистенькая и красивая современная клиника с вежливым персоналом. Я сильно опоздала на свой приём из за ремонта дорог, но врач проявил тактичность и терпеливость...

Все отзывы (1) ➡️
3934

на Barb уже 1 г. 10 мес.

Организация
Черновцы, Первомайский р-н,
вулиця Дмитра Ковальова, 2

Смотреть на карте

Медик по образованию. Решаю проблему вросшего ногтя. Грибок стоп, мозоли, бородавки. Более 700 довольных клиентов. Также работаю с детьми.

90

на Barb уже 1 г. 10 мес.

Организация
Черновцы, Шевченковский р-н,
Герцена, 2в

Смотреть на карте

Крамаренко Анна - профессионал в сфере подологии, квалифицированный и опытный специалист высокого уровня. В профессии с 2006 года, имеет высшее медицинское образование и поможет вам решить и вылечить различные заболевания стопы и ногтей. Член Ассоциации подологов Украины.

81

на Barb уже 1 г. 9 мес.

Организация
Черновцы,
Владислава Трепка, 1А

Смотреть на карте

Профилактические гинекологические осмотры направлены на сохранение женского здоровья. Также гинекологические осмотры направлены на своевременное выявление заболеваний женских половых органов и выбор оптимального метода контрацепции или естественного планирования семьи.

Консультация - 550 грн.

68

на Barb уже 1 г. 3 мес.

Организация
Черновцы, Шевченковский р-н,
проспект Незалежності, 111

Смотреть на карте
9 звонков

Романова Алена Владимировна - врач-невропатолог высшей категории. Имеет многолетний опыт в различных направлениях медицины:
Гирудотерапия - с 2009 года
Кинезиотейпирование - с 2016 года
Остеопатия - с 2019 года
Плазмотерапия - с 2020 года
Особое внимание уделяет сложным клиническим случаям и нахождению эффективных решений. Постоянно занимается саморазвитием и совершенствованием своих навыков. Как спортсмен, активно работает в сфере восстановительной...

161

на Barb уже 3 г. 1 мес.

Медицинские услуги
"Юзько медікал центр"
Черновцы, Шевченковский р-н,
Трепка1а

Дополнительные адреса:

Шевченковский р-н

28 червня,25

Смотреть на карте
Консультирую онлайн

Врач акушер-гинеколог. Выполняю УЗИ органов малого таза, молочных желез и щитовидной железы.
Занимаюсь вопросами, касающимися эстетических проблем в гинекологии (опущение стенок влагалища, гиперпигментация кожи в интимной зоне, биоревитализация, плазмотерапия, лазерные методики).
Работаю в Angelholm и Юзько центр.

77
10 баллов
10 звонков

- стоматология
- контурная пластика

Гуля, отзыв от 13.12.2024:

Юлька це самий хороший косметолог,збільшила губки мені,мені дуже сподобалось зробила під натуральні губки,що ніхто не може сказати що вони зроблені . Рекомендую

Все отзывы (1) ➡️
398

на Barb уже 5 л. 6 мес.

Стоматология
"Вокдент"
Черновцы,
Лесі Українки, 14

Смотреть на карте
10 баллов
11 звонков

- професійна гігієна
- відбілювання зубів
- лікування карієсу
- прийом дорослих та дітей

Тетяна, отзыв от 15.01.2025:

Обслуговуємось в Ольги вже роки. Ніколи не зроблять зайвих послуг «на гроші», завжди професійно і за адекватну вартість.

Все отзывы (1) ➡️
473

на Barb уже 1 г. 3 мес.

Организация
Черновцы, Шевченковский р-н,
Франка, 7

Смотреть на карте
10 баллов
9 звонков

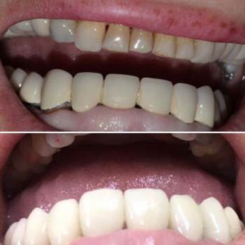
Врач стоматолог-ортопед с опытом более 12 лет. Идея открыть собственную стоматологию возникла тогда, когда мы поняли, что можем лечить то, что другие удаляют, ведь наибольшую ценность несут именно собственные зубы. Поэтому наша миссия - обеспечить высокий уровень предоставления стоматологических услуг, акцентируя внимание на здоровье и комфорте каждого клиента!

Олексій, отзыв от 19.03.2025:

Вже не вперше звертаюся до цього лікаря. Хороший лікар має вміти дві речі. Правильно поставити діагноз та провести якісне лікування. Що перше, що друге у лікаря Павленка Дениса Павловича все на найвищому рівні. За допомогою гарної апаратури та глибоких...

Все отзывы (1) ➡️
140

на Barb уже 1 г. 3 мес.

Организация
Черновцы, Шевченковский р-н,
Проспект Незалежності, 106А

Смотреть на карте

DiDental Clinic "Daniela Ignat" - это современная стоматология, с удобным расположением. Здесь вы получите исключительно качественные процедуры от компетентного главного врача, с огромным опытом работы - Даниэлы Игнат.

86

на Barb уже 9 мес. 10 ч.

В учреждении
Черновцы, Шевченковский р-н,
Вул. Шевченка

Смотреть на карте
Консультирую онлайн
8 звонков

Активизация речи. Работа с детьми с ООП. Логопедический массаж. Результат плодотворной долгосрочной работы — тот момент, когда мы работаем вместе! Слышим и понимаем друг друга!

60

на Barb уже 1 г. 10 мес.

Организация
Черновцы, Шевченковский р-н,
Воробкевича, 33

Смотреть на карте
Консультирую онлайн
5 звонков

Провожу консультации для подологов и пациентов по поводу:
 Лечение вросшего ногтя
 Хирургическое вмешательство на ногтевом аппарате (пластика боковых валиков, экзостоз, новообразования)
 Грибковые заболевания кожи и ногтей
 Плоскостопие, вальгусное положение стоп, нарушение осанки у детей, подростков и взрослых
 Пяточная шпора
 Диабетическая стопа, трофические язвы, трофические язвы

135

на Barb уже 11 мес. 2 д.

Прием по адресу
Черновцы, Шевченковский р-н,
вул Садова 6А

Смотреть на карте

Хотите восстановить молодость и гармонию лица без инъекций и хирургии? Я Наталья Мостовая, остеопат, предлагаю уникальный подход к естественному омоложению через мануальное восстановление лица только руками. Используя мягкие, но глубокие остеопатические техники, включая краниосакральную терапию, я работаю с костями черепа, мышцами лица и соединительными тканями. Это не просто косметология, это комплексное оздоровление, которое положительно влияет на весь организм. Почувствуйте легкость,...

73

Логопед. Запуск речи/развитие речи ребенка. Индивидуальные логопедические занятия с детьми. Консультации для родителей (онлайн).

61

на Barb уже 9 мес. 10 ч.

В учреждении
Черновцы, Шевченковский р-н,
Героїв Майдану, 31

Смотреть на карте
Консультирую онлайн

Подготовка к школе и логопедические занятия в Черновцах. Индивидуальные и групповые занятия для детей от 5 лет. В программе: обучение чтению, коррекция звукопроизношения, развитие речи, логики, внимания, памяти и подготовка руки к письму.  

63

на Barb уже 11 мес. 17 ч.

Прием по адресу
Черновцы, Шевченковский р-н,
вул. Главная 82

Смотреть на карте

Подолог - твой эксперт по здоровью стоп! Вросший ноготь, трещины, грибок, мозоли? Знаю, как решить без боли и лишнего стресса. Стерильность, забота и профессиональный подход - для твоей легкости в каждом шаге. Запишись на консультацию уже сегодня - и позволь ногам поблагодарить тебя!

90

на Barb уже 11 мес. 2 д.

Прием по адресу
Черновцы, Шевченковский р-н,
проспект Незалежності 111

Смотреть на карте

Чувствуете дискомфорт в животе или теле? Я, Александра Вакула, висцеральный терапевт, реабилитолог и остеопат, помогу вам. Специализируюсь на остеопатии живота и тела, работая с внутренними органами и опорно-двигательным аппаратом для восстановления их функций и снятия боли. Верните своему телу легкость и гармонию.  

132

Салон рядом со мной

Украина, Черновицкая, Черновцы

20-1500 UAH

Оценка 4.8 на основе 71 Google отзывов

Оставить отзыв в Google