Хмельницкий

Професійна гігієна ротової порожнини - от 2500 грн

(Стоматолог Аліна, Хмельницкий)

от 2500 грн

за процедуру

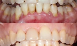
Чистка зубів Air Flow - це ефективна стоматологічна процедура, яка може бути корисною для багатьох пацієнтів. Основні ситуації, коли ця процедура може бути корисною, включають: Знімання зубного нальоту: Чистка зубів Air Flow допомагає видалити зубний нальот (плями і бруд), що накопичується на поверхні зубів від їжі і напоїв, що може призвести до жовтіння і неприємного запаху з рота. Видалення зубного каменю: Важливою функцією Air Flow є видалення зубного каменю (закам'янілості), який утворюється внаслідок відкладень мінеральних солей на зубах. Зубний камінь може призвести до захворювань ясен і погіршити стан зубів. Поліпшення стану ясен: Ця процедура може допомогти зменшити запалення ясен і покращити їх загальний стан, що важливо для попередження пародонтиту і гінгівіту. Підготовка до інших стоматологічних процедур: Чистка зубів Air Flow часто використовується перед іншими стоматологічними процедурами, такими як встановлення пломб або видалення зубів, для покращення гігієни та видимості робочого поля для лікаря-стоматолога. Отже, ця процедура може бути корисною для всіх, хто бажає підтримувати свою стоматологічну гігієну і попереджати захворювання зубів та ясен. Рекомендується обговорити можливість проведення чистки зубів Air Flow зі своїм лікарем-стоматологом.

Професійна гігієна ротової порожнини у Хмельницькому

Професійна гігієна ротової порожнини – це комплекс процедур, спрямованих на видалення зубного нальоту, каменю та бактерій, що не видаляються під час щоденного чищення зубів. Стоматолог проводить очищення за допомогою ультразвуку, методу Air Flow та полірування емалі. Це дозволяє зберегти здоров’я ясен, запобігти розвитку карієсу та пародонтиту.

✔️ Видалення м’якого і твердого нальоту
✔️ Усунення неприємного запаху з рота
✔️ Профілактика захворювань ясен та карієсу
✔️ Світліша та гладенька емаль після полірування

Регулярна професійна чистка зубів (2 рази на рік) – основа здорової усмішки, свіжого подиху та профілактики стоматологічних захворювань.

👉 Запишіться на професійну гігієну ротової порожнини у Хмельницькому та подаруйте своїм зубам довготривалу чистоту й здоров’я!

График работы
Пн 10:00 – 20:00
Вт 10:00 – 20:00
Ср 10:00 – 20:00
Чт 10:00 – 20:00
Пт 10:00 – 20:00
Сб Выходной
Вс Выходной
Смотреть на карте   Записаться

Вы владелец?


к управлению страницей

Нашли ошибку?