кюретаж та лікування пародонтиту в стоматології Ва...
Лікар Аліна Анатоліївна район Озерна в стоматологі...
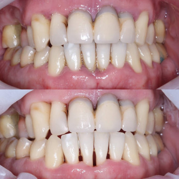
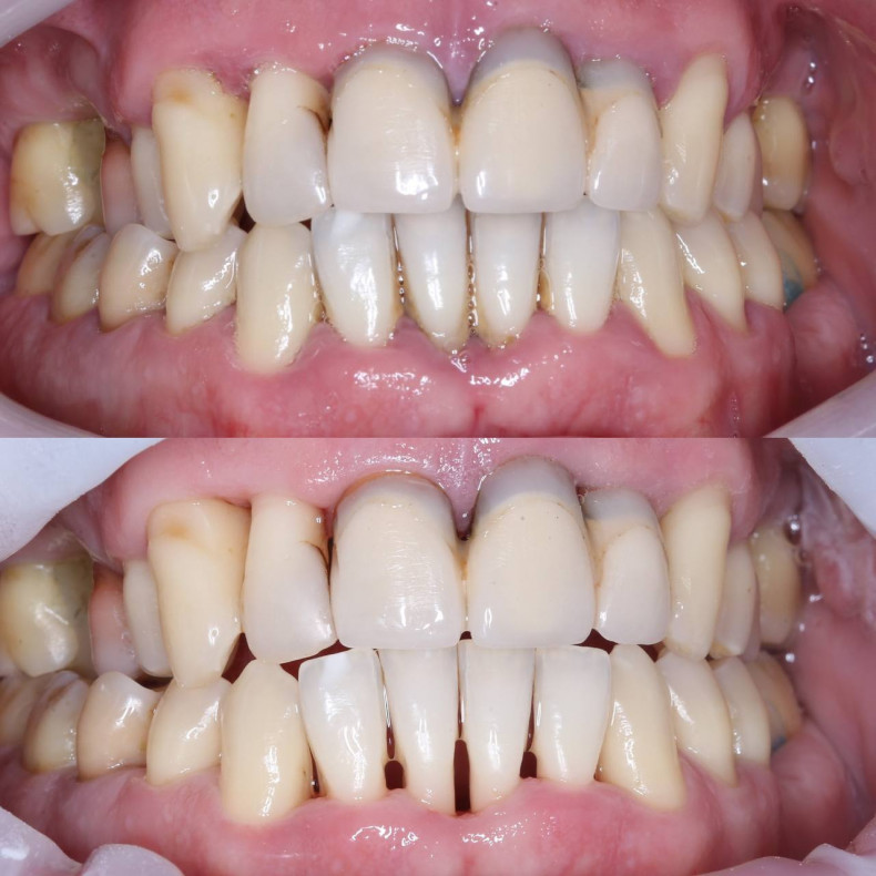
Лікар Аліна Анатоліївна,після пародонтологічного л...
лікар Аліна Анатоліївна район Озерна в стоматологі...
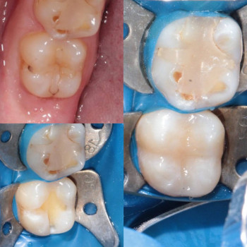
реставрація у Аліни Анатоліївни стоматологія ВА кл...
лікування ясен в стоматології VA Clinic Хмельницьк...
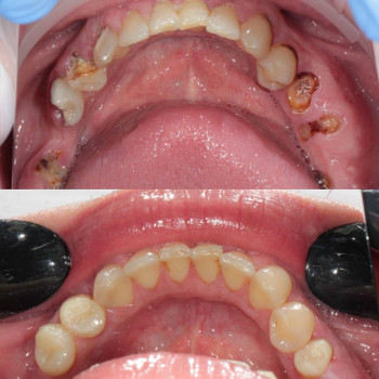
лікування пародонтиту лікар Аліна Анатоліївна райо...
лікування пародонтиту в стоматології VA Clinic Алі...
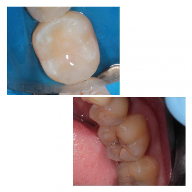
реставрація зубів в стоматології Хмельницький вули...
лікування пародонтиту в стоматології VA Clinic рай...
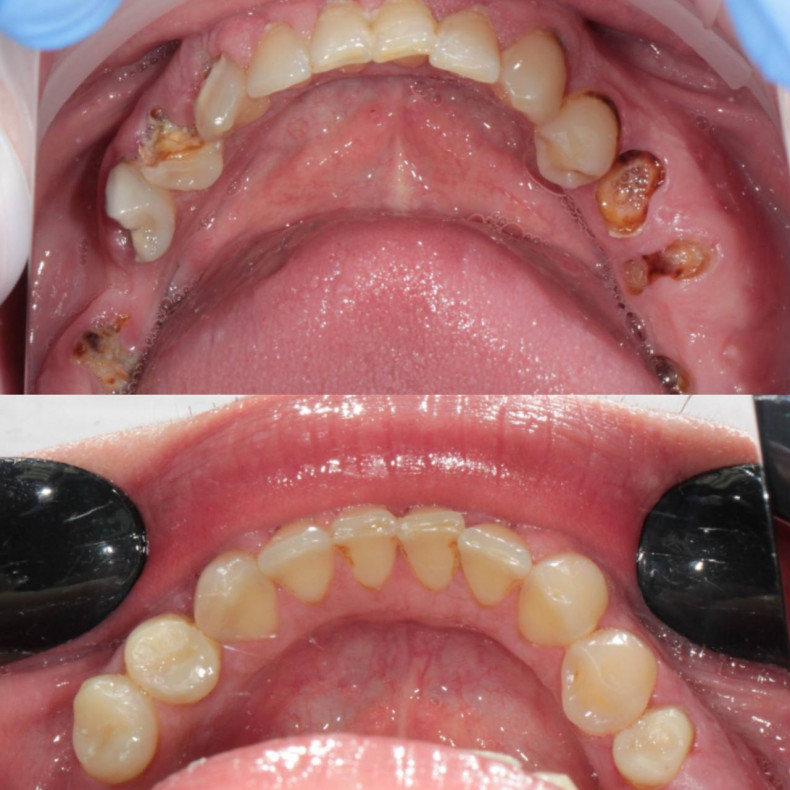
професійна гігієна та підготовка до лікування карі...
лікування пародонтиту Аліна Анатоліївна в стоматол...
лікування пародонтиту в стоматології VA Clinic рай...
Аліна Вакульчук
Приглашаем вас в VA Clinic - ваш выбор для комфортного и высококачественного стоматологического лечения. Наша клиника предоставляет лучшие условия, передовые технологии, высококвалифицированный медицинский персонал и комплексный подход к каждому пациенту.
Что делает нас лучшими?
Опытный и внимательный персонал: В VA Clinic работает команда высококвалифицированных стоматологов и медицинских специалистов, всегда готовых оказать вам персональное внимание и профессиональный уход.
Современное оборудование: Наша клиника оснащена передовым медицинским оборудованием, включая современный компьютерный томограф Planmeca ProMax 3D Classic. Это позволяет нам проводить диагностику на высочайшем уровне, учитывая анатомические особенности ваших зубов и корней.
Инновационные технологии: В VA Clinic мы всегда на шаг впереди в области стоматологии. Используя внутриротовой 3D-сканер, мы ускоряем процесс и облегчаем создание отпечатков, обеспечивая вам быстрые и точные результаты. Наш Фотопротокол позволяет зафиксировать и наглядно продемонстрировать эстетику вашей улыбки на разных этапах работы.
Постоянное следование инновациям: Мы всегда следим за последними новинками и технологическими достижениями в области стоматологии, чтобы предоставлять нашим пациентам лучшие возможные услуги.
Квалифицированные специалисты: Наш персонал обладает обширным опытом в области стоматологии и всегда готов найти креативные решения для любой стоматологической задачи.
Выберите VA Clinic для максимального комфорта, безопасности и высокого качества стоматологического лечения. Мы гордимся тем, что помогаем нашим пациентам поддерживать здоровую улыбку и наслаждаться ее красотой. Сделайте первый шаг к здоровым зубам и обратитесь к нам сегодня!
Медицинское образование
Нму им А.А.Богомольца
Дипломы и сертификаты
навчання в найкращих щоб працювати на вищому рівні
Награды
Адрес
Стоматологическая клиника "Стоматологія VA Clinic"
Украина, Хмельницкая область, Хмельницкий, вулиця Панаса Мирного, 18б
Рекомендую VA Clinic усім, хто цінує якість і комфорт! Лікував зуби та робив гігієну та реставрацію, все пройшло ідеально. Ціни адекватні, обслуговування на рівні, лікарі уважні.
10.08.2025 Єгор Степанов
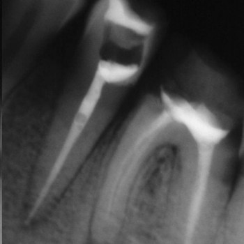
Вперше потрапив у VA Clinic (Озерна, Хмельницький) за рекомендацією друзів – і тепер розумію, чому всі так радять. Лікував канали, робив реставрацію та відбілювання зубів. Все пройшло без болю, з увагою до дрібниць і сучасним підходом. Коронки виглядають як рідні, колір ідеальний. Для мене це тепер стоматологія №1 у Хмельницькому!
07.06.2025 Марія
Дівчата, хочу поділитися справжнім відкриттям — стоматологія VA Clinic у Хмельницькому 💎
Це не просто лікування зубів, а цілий ритуал турботи про себе 💖
Моя лікарка — Аліна Анатоліївна — неймовірна жінка! Спокійна, уважна, все пояснює, підбирає лікування саме під тебе. Робила профгігієну, відбілювання, кілька пломб — усе швидко, акуратно й без болю.
А коли знадобилось видалити зуб мудрості — звернулась до хірурга В’ячеслава Олександровича. Сказати, що я боялась — нічого не сказати 😅 Але він зробив усе настільки делікатно, що я навіть не встигла злякатись!
📍 В клініці — ідеальна чистота, стильний інтер’єр, дуже приємні адміністратори, аромат кави й атмосфера спокою. Я реально відпочила там!
Стоматологія VA Clinic створена з любов'ю, турботою та піклуванням про Вас.
Стоматологія VA Clinic створена з любов'ю, турботою та піклуванням про Вас.
Відбілювання зубів Beyond у VA Clinic
Стоматологія VA Clinic створена з любов'ю, турботою та піклуванням про Вас.
Реставрація зубів - це процес відновлення функцій, форми, розміру та естетичного вигляду зубів, які зазнали пошкодження чи захворювання. Цей процес може включати різні методи і матеріали в залежності від конкретної ситуації та потреб пацієнта. Ось кілька
Стоматологія VA Clinic створена з любов'ю, турботою та піклуванням про Вас.
догляд зубів при встановленні брекетів Стоматологія VA Clinic
Використання міжзубного йоржика допомагає видаляти залишки їжі та наліт. • Для користування міжзубним йоржиком, вставте Його обережно між зубами та здійснюйте рухи вперед- назад,для ефективного очищення просторів між зубами. Міжзубний йоржик - це допоміжн
Як обрати найкраще місце для лікування.
Монопучкова щітка призначення .Стоматологія VA Clinic створена з любов'ю, турботою та піклуванням про Вас.
Стоматологія VA Clinic створена з любов'ю, турботою та піклуванням про Вас.
{{modalVideoName}}
Аліна Вакульчук Видео - 1Приглашаем вас в VA Clinic - ваш выбор для комфортного и высококачественного стоматологического лечения. Наша клиника предоставляет лучшие условия, передовые технологии, высококвалифицированный медицинский персонал и комплексный подход к каждому пациенту.
Что делает нас лучшими?
Опытный и внимательный персонал: В VA Clinic работает команда высококвалифицированных стоматологов и медицинских специалистов, всегда готовых оказать вам персональное внимание и профессиональный уход.
Современное оборудование: Наша клиника оснащена передовым медицинским оборудованием, включая современный компьютерный томограф Planmeca ProMax 3D Classic. Это позволяет нам проводить диагностику на высочайшем уровне, учитывая анатомические особенности ваших зубов и корней.
Инновационные технологии: В VA Clinic мы всегда на шаг впереди в области стоматологии. Используя внутриротовой 3D-сканер, мы ускоряем процесс и облегчаем создание отпечатков, обеспечивая вам быстрые и точные результаты. Наш Фотопротокол позволяет зафиксировать и наглядно продемонстрировать эстетику вашей улыбки на разных этапах работы.
Постоянное следование инновациям: Мы всегда следим за последними новинками и технологическими достижениями в области стоматологии, чтобы предоставлять нашим пациентам лучшие возможные услуги.
Квалифицированные специалисты: Наш персонал обладает обширным опытом в области стоматологии и всегда готов найти креативные решения для любой стоматологической задачи.
Выберите VA Clinic для максимального комфорта, безопасности и высокого качества стоматологического лечения. Мы гордимся тем, что помогаем нашим пациентам поддерживать здоровую улыбку и наслаждаться ее красотой. Сделайте первый шаг к здоровым зубам и обратитесь к нам сегодня!
Аліна Вакульчук Видео - 2Приглашаем вас в VA Clinic - ваш выбор для комфортного и высококачественного стоматологического лечения. Наша клиника предоставляет лучшие условия, передовые технологии, высококвалифицированный медицинский персонал и комплексный подход к каждому пациенту.
Что делает нас лучшими?
Опытный и внимательный персонал: В VA Clinic работает команда высококвалифицированных стоматологов и медицинских специалистов, всегда готовых оказать вам персональное внимание и профессиональный уход.
Современное оборудование: Наша клиника оснащена передовым медицинским оборудованием, включая современный компьютерный томограф Planmeca ProMax 3D Classic. Это позволяет нам проводить диагностику на высочайшем уровне, учитывая анатомические особенности ваших зубов и корней.
Инновационные технологии: В VA Clinic мы всегда на шаг впереди в области стоматологии. Используя внутриротовой 3D-сканер, мы ускоряем процесс и облегчаем создание отпечатков, обеспечивая вам быстрые и точные результаты. Наш Фотопротокол позволяет зафиксировать и наглядно продемонстрировать эстетику вашей улыбки на разных этапах работы.
Постоянное следование инновациям: Мы всегда следим за последними новинками и технологическими достижениями в области стоматологии, чтобы предоставлять нашим пациентам лучшие возможные услуги.
Квалифицированные специалисты: Наш персонал обладает обширным опытом в области стоматологии и всегда готов найти креативные решения для любой стоматологической задачи.
Выберите VA Clinic для максимального комфорта, безопасности и высокого качества стоматологического лечения. Мы гордимся тем, что помогаем нашим пациентам поддерживать здоровую улыбку и наслаждаться ее красотой. Сделайте первый шаг к здоровым зубам и обратитесь к нам сегодня!
Аліна Вакульчук Видео - 3Приглашаем вас в VA Clinic - ваш выбор для комфортного и высококачественного стоматологического лечения. Наша клиника предоставляет лучшие условия, передовые технологии, высококвалифицированный медицинский персонал и комплексный подход к каждому пациенту.
Что делает нас лучшими?
Опытный и внимательный персонал: В VA Clinic работает команда высококвалифицированных стоматологов и медицинских специалистов, всегда готовых оказать вам персональное внимание и профессиональный уход.
Современное оборудование: Наша клиника оснащена передовым медицинским оборудованием, включая современный компьютерный томограф Planmeca ProMax 3D Classic. Это позволяет нам проводить диагностику на высочайшем уровне, учитывая анатомические особенности ваших зубов и корней.
Инновационные технологии: В VA Clinic мы всегда на шаг впереди в области стоматологии. Используя внутриротовой 3D-сканер, мы ускоряем процесс и облегчаем создание отпечатков, обеспечивая вам быстрые и точные результаты. Наш Фотопротокол позволяет зафиксировать и наглядно продемонстрировать эстетику вашей улыбки на разных этапах работы.
Постоянное следование инновациям: Мы всегда следим за последними новинками и технологическими достижениями в области стоматологии, чтобы предоставлять нашим пациентам лучшие возможные услуги.
Квалифицированные специалисты: Наш персонал обладает обширным опытом в области стоматологии и всегда готов найти креативные решения для любой стоматологической задачи.
Выберите VA Clinic для максимального комфорта, безопасности и высокого качества стоматологического лечения. Мы гордимся тем, что помогаем нашим пациентам поддерживать здоровую улыбку и наслаждаться ее красотой. Сделайте первый шаг к здоровым зубам и обратитесь к нам сегодня!
Аліна Вакульчук Видео - 4Приглашаем вас в VA Clinic - ваш выбор для комфортного и высококачественного стоматологического лечения. Наша клиника предоставляет лучшие условия, передовые технологии, высококвалифицированный медицинский персонал и комплексный подход к каждому пациенту.
Что делает нас лучшими?
Опытный и внимательный персонал: В VA Clinic работает команда высококвалифицированных стоматологов и медицинских специалистов, всегда готовых оказать вам персональное внимание и профессиональный уход.
Современное оборудование: Наша клиника оснащена передовым медицинским оборудованием, включая современный компьютерный томограф Planmeca ProMax 3D Classic. Это позволяет нам проводить диагностику на высочайшем уровне, учитывая анатомические особенности ваших зубов и корней.
Инновационные технологии: В VA Clinic мы всегда на шаг впереди в области стоматологии. Используя внутриротовой 3D-сканер, мы ускоряем процесс и облегчаем создание отпечатков, обеспечивая вам быстрые и точные результаты. Наш Фотопротокол позволяет зафиксировать и наглядно продемонстрировать эстетику вашей улыбки на разных этапах работы.
Постоянное следование инновациям: Мы всегда следим за последними новинками и технологическими достижениями в области стоматологии, чтобы предоставлять нашим пациентам лучшие возможные услуги.
Квалифицированные специалисты: Наш персонал обладает обширным опытом в области стоматологии и всегда готов найти креативные решения для любой стоматологической задачи.
Выберите VA Clinic для максимального комфорта, безопасности и высокого качества стоматологического лечения. Мы гордимся тем, что помогаем нашим пациентам поддерживать здоровую улыбку и наслаждаться ее красотой. Сделайте первый шаг к здоровым зубам и обратитесь к нам сегодня!
Аліна Вакульчук Видео - 5Приглашаем вас в VA Clinic - ваш выбор для комфортного и высококачественного стоматологического лечения. Наша клиника предоставляет лучшие условия, передовые технологии, высококвалифицированный медицинский персонал и комплексный подход к каждому пациенту.
Что делает нас лучшими?
Опытный и внимательный персонал: В VA Clinic работает команда высококвалифицированных стоматологов и медицинских специалистов, всегда готовых оказать вам персональное внимание и профессиональный уход.
Современное оборудование: Наша клиника оснащена передовым медицинским оборудованием, включая современный компьютерный томограф Planmeca ProMax 3D Classic. Это позволяет нам проводить диагностику на высочайшем уровне, учитывая анатомические особенности ваших зубов и корней.
Инновационные технологии: В VA Clinic мы всегда на шаг впереди в области стоматологии. Используя внутриротовой 3D-сканер, мы ускоряем процесс и облегчаем создание отпечатков, обеспечивая вам быстрые и точные результаты. Наш Фотопротокол позволяет зафиксировать и наглядно продемонстрировать эстетику вашей улыбки на разных этапах работы.
Постоянное следование инновациям: Мы всегда следим за последними новинками и технологическими достижениями в области стоматологии, чтобы предоставлять нашим пациентам лучшие возможные услуги.
Квалифицированные специалисты: Наш персонал обладает обширным опытом в области стоматологии и всегда готов найти креативные решения для любой стоматологической задачи.
Выберите VA Clinic для максимального комфорта, безопасности и высокого качества стоматологического лечения. Мы гордимся тем, что помогаем нашим пациентам поддерживать здоровую улыбку и наслаждаться ее красотой. Сделайте первый шаг к здоровым зубам и обратитесь к нам сегодня!
Аліна Вакульчук Видео - 6Приглашаем вас в VA Clinic - ваш выбор для комфортного и высококачественного стоматологического лечения. Наша клиника предоставляет лучшие условия, передовые технологии, высококвалифицированный медицинский персонал и комплексный подход к каждому пациенту.
Что делает нас лучшими?
Опытный и внимательный персонал: В VA Clinic работает команда высококвалифицированных стоматологов и медицинских специалистов, всегда готовых оказать вам персональное внимание и профессиональный уход.
Современное оборудование: Наша клиника оснащена передовым медицинским оборудованием, включая современный компьютерный томограф Planmeca ProMax 3D Classic. Это позволяет нам проводить диагностику на высочайшем уровне, учитывая анатомические особенности ваших зубов и корней.
Инновационные технологии: В VA Clinic мы всегда на шаг впереди в области стоматологии. Используя внутриротовой 3D-сканер, мы ускоряем процесс и облегчаем создание отпечатков, обеспечивая вам быстрые и точные результаты. Наш Фотопротокол позволяет зафиксировать и наглядно продемонстрировать эстетику вашей улыбки на разных этапах работы.
Постоянное следование инновациям: Мы всегда следим за последними новинками и технологическими достижениями в области стоматологии, чтобы предоставлять нашим пациентам лучшие возможные услуги.
Квалифицированные специалисты: Наш персонал обладает обширным опытом в области стоматологии и всегда готов найти креативные решения для любой стоматологической задачи.
Выберите VA Clinic для максимального комфорта, безопасности и высокого качества стоматологического лечения. Мы гордимся тем, что помогаем нашим пациентам поддерживать здоровую улыбку и наслаждаться ее красотой. Сделайте первый шаг к здоровым зубам и обратитесь к нам сегодня!
Аліна Вакульчук Видео - 7Приглашаем вас в VA Clinic - ваш выбор для комфортного и высококачественного стоматологического лечения. Наша клиника предоставляет лучшие условия, передовые технологии, высококвалифицированный медицинский персонал и комплексный подход к каждому пациенту.
Что делает нас лучшими?
Опытный и внимательный персонал: В VA Clinic работает команда высококвалифицированных стоматологов и медицинских специалистов, всегда готовых оказать вам персональное внимание и профессиональный уход.
Современное оборудование: Наша клиника оснащена передовым медицинским оборудованием, включая современный компьютерный томограф Planmeca ProMax 3D Classic. Это позволяет нам проводить диагностику на высочайшем уровне, учитывая анатомические особенности ваших зубов и корней.
Инновационные технологии: В VA Clinic мы всегда на шаг впереди в области стоматологии. Используя внутриротовой 3D-сканер, мы ускоряем процесс и облегчаем создание отпечатков, обеспечивая вам быстрые и точные результаты. Наш Фотопротокол позволяет зафиксировать и наглядно продемонстрировать эстетику вашей улыбки на разных этапах работы.
Постоянное следование инновациям: Мы всегда следим за последними новинками и технологическими достижениями в области стоматологии, чтобы предоставлять нашим пациентам лучшие возможные услуги.
Квалифицированные специалисты: Наш персонал обладает обширным опытом в области стоматологии и всегда готов найти креативные решения для любой стоматологической задачи.
Выберите VA Clinic для максимального комфорта, безопасности и высокого качества стоматологического лечения. Мы гордимся тем, что помогаем нашим пациентам поддерживать здоровую улыбку и наслаждаться ее красотой. Сделайте первый шаг к здоровым зубам и обратитесь к нам сегодня!
Аліна Вакульчук Видео - 8Приглашаем вас в VA Clinic - ваш выбор для комфортного и высококачественного стоматологического лечения. Наша клиника предоставляет лучшие условия, передовые технологии, высококвалифицированный медицинский персонал и комплексный подход к каждому пациенту.
Что делает нас лучшими?
Опытный и внимательный персонал: В VA Clinic работает команда высококвалифицированных стоматологов и медицинских специалистов, всегда готовых оказать вам персональное внимание и профессиональный уход.
Современное оборудование: Наша клиника оснащена передовым медицинским оборудованием, включая современный компьютерный томограф Planmeca ProMax 3D Classic. Это позволяет нам проводить диагностику на высочайшем уровне, учитывая анатомические особенности ваших зубов и корней.
Инновационные технологии: В VA Clinic мы всегда на шаг впереди в области стоматологии. Используя внутриротовой 3D-сканер, мы ускоряем процесс и облегчаем создание отпечатков, обеспечивая вам быстрые и точные результаты. Наш Фотопротокол позволяет зафиксировать и наглядно продемонстрировать эстетику вашей улыбки на разных этапах работы.
Постоянное следование инновациям: Мы всегда следим за последними новинками и технологическими достижениями в области стоматологии, чтобы предоставлять нашим пациентам лучшие возможные услуги.
Квалифицированные специалисты: Наш персонал обладает обширным опытом в области стоматологии и всегда готов найти креативные решения для любой стоматологической задачи.
Выберите VA Clinic для максимального комфорта, безопасности и высокого качества стоматологического лечения. Мы гордимся тем, что помогаем нашим пациентам поддерживать здоровую улыбку и наслаждаться ее красотой. Сделайте первый шаг к здоровым зубам и обратитесь к нам сегодня!
Аліна Вакульчук Видео - 9Приглашаем вас в VA Clinic - ваш выбор для комфортного и высококачественного стоматологического лечения. Наша клиника предоставляет лучшие условия, передовые технологии, высококвалифицированный медицинский персонал и комплексный подход к каждому пациенту.
Что делает нас лучшими?
Опытный и внимательный персонал: В VA Clinic работает команда высококвалифицированных стоматологов и медицинских специалистов, всегда готовых оказать вам персональное внимание и профессиональный уход.
Современное оборудование: Наша клиника оснащена передовым медицинским оборудованием, включая современный компьютерный томограф Planmeca ProMax 3D Classic. Это позволяет нам проводить диагностику на высочайшем уровне, учитывая анатомические особенности ваших зубов и корней.
Инновационные технологии: В VA Clinic мы всегда на шаг впереди в области стоматологии. Используя внутриротовой 3D-сканер, мы ускоряем процесс и облегчаем создание отпечатков, обеспечивая вам быстрые и точные результаты. Наш Фотопротокол позволяет зафиксировать и наглядно продемонстрировать эстетику вашей улыбки на разных этапах работы.
Постоянное следование инновациям: Мы всегда следим за последними новинками и технологическими достижениями в области стоматологии, чтобы предоставлять нашим пациентам лучшие возможные услуги.
Квалифицированные специалисты: Наш персонал обладает обширным опытом в области стоматологии и всегда готов найти креативные решения для любой стоматологической задачи.
Выберите VA Clinic для максимального комфорта, безопасности и высокого качества стоматологического лечения. Мы гордимся тем, что помогаем нашим пациентам поддерживать здоровую улыбку и наслаждаться ее красотой. Сделайте первый шаг к здоровым зубам и обратитесь к нам сегодня!
Аліна Вакульчук Видео - 10Приглашаем вас в VA Clinic - ваш выбор для комфортного и высококачественного стоматологического лечения. Наша клиника предоставляет лучшие условия, передовые технологии, высококвалифицированный медицинский персонал и комплексный подход к каждому пациенту.
Что делает нас лучшими?
Опытный и внимательный персонал: В VA Clinic работает команда высококвалифицированных стоматологов и медицинских специалистов, всегда готовых оказать вам персональное внимание и профессиональный уход.
Современное оборудование: Наша клиника оснащена передовым медицинским оборудованием, включая современный компьютерный томограф Planmeca ProMax 3D Classic. Это позволяет нам проводить диагностику на высочайшем уровне, учитывая анатомические особенности ваших зубов и корней.
Инновационные технологии: В VA Clinic мы всегда на шаг впереди в области стоматологии. Используя внутриротовой 3D-сканер, мы ускоряем процесс и облегчаем создание отпечатков, обеспечивая вам быстрые и точные результаты. Наш Фотопротокол позволяет зафиксировать и наглядно продемонстрировать эстетику вашей улыбки на разных этапах работы.
Постоянное следование инновациям: Мы всегда следим за последними новинками и технологическими достижениями в области стоматологии, чтобы предоставлять нашим пациентам лучшие возможные услуги.
Квалифицированные специалисты: Наш персонал обладает обширным опытом в области стоматологии и всегда готов найти креативные решения для любой стоматологической задачи.
Выберите VA Clinic для максимального комфорта, безопасности и высокого качества стоматологического лечения. Мы гордимся тем, что помогаем нашим пациентам поддерживать здоровую улыбку и наслаждаться ее красотой. Сделайте первый шаг к здоровым зубам и обратитесь к нам сегодня!
Аліна Вакульчук Видео - 11Приглашаем вас в VA Clinic - ваш выбор для комфортного и высококачественного стоматологического лечения. Наша клиника предоставляет лучшие условия, передовые технологии, высококвалифицированный медицинский персонал и комплексный подход к каждому пациенту.
Что делает нас лучшими?
Опытный и внимательный персонал: В VA Clinic работает команда высококвалифицированных стоматологов и медицинских специалистов, всегда готовых оказать вам персональное внимание и профессиональный уход.
Современное оборудование: Наша клиника оснащена передовым медицинским оборудованием, включая современный компьютерный томограф Planmeca ProMax 3D Classic. Это позволяет нам проводить диагностику на высочайшем уровне, учитывая анатомические особенности ваших зубов и корней.
Инновационные технологии: В VA Clinic мы всегда на шаг впереди в области стоматологии. Используя внутриротовой 3D-сканер, мы ускоряем процесс и облегчаем создание отпечатков, обеспечивая вам быстрые и точные результаты. Наш Фотопротокол позволяет зафиксировать и наглядно продемонстрировать эстетику вашей улыбки на разных этапах работы.
Постоянное следование инновациям: Мы всегда следим за последними новинками и технологическими достижениями в области стоматологии, чтобы предоставлять нашим пациентам лучшие возможные услуги.
Квалифицированные специалисты: Наш персонал обладает обширным опытом в области стоматологии и всегда готов найти креативные решения для любой стоматологической задачи.
Выберите VA Clinic для максимального комфорта, безопасности и высокого качества стоматологического лечения. Мы гордимся тем, что помогаем нашим пациентам поддерживать здоровую улыбку и наслаждаться ее красотой. Сделайте первый шаг к здоровым зубам и обратитесь к нам сегодня!
16.10.2025 Борис
Рекомендую VA Clinic усім, хто цінує якість і комфорт! Лікував зуби та робив гігієну та реставрацію, все пройшло ідеально. Ціни адекватні, обслуговування на рівні, лікарі уважні.