Додаткові спеціалізації: Пародонтолог, дитячий стоматолог, стоматолог-імплантолог, стоматолог-хірург
💼 Досвід роботи: 8 років (з 2017 року)
🎓 Вища медична освіта:
Нму им А.А.Богомольца
Ключові напрямки:
лікування пародонтиту, лікування зубів під мікроскопом, протезування зубів, імплантація зубів, лікування каналів
(а також лікування гінгівіту, лікування карієсу, лікування карієсу ICON, лікування пародонтозу, лікування пульпіту)
✅️ Формат роботи: Стоматологічна клініка "Стоматологія VA Clinic" за адресою вулиця Панаса Мирного, 18б
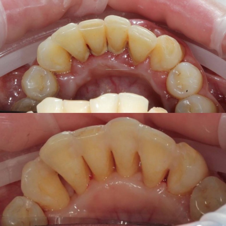
кюретаж та лікування пародонтиту в стоматології Ва...
Лікар Аліна Анатоліївна район Озерна в стоматологі...
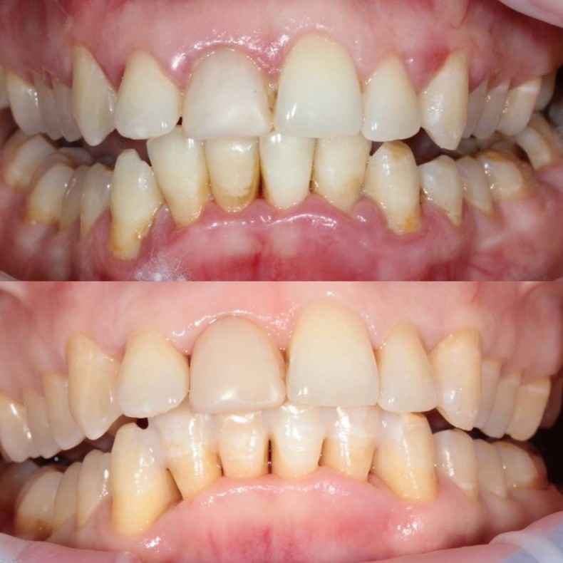
Лікар Аліна Анатоліївна,після пародонтологічного л...
лікар Аліна Анатоліївна район Озерна в стоматологі...
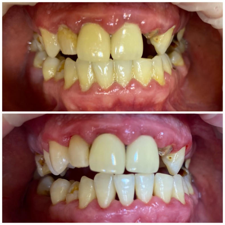
реставрація у Аліни Анатоліївни стоматологія ВА кл...
лікування ясен в стоматології VA Clinic Хмельницьк...
лікування пародонтиту лікар Аліна Анатоліївна райо...
лікування пародонтиту в стоматології VA Clinic Алі...
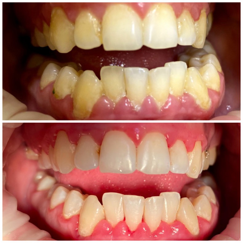
реставрація зубів в стоматології Хмельницький вули...
лікування пародонтиту в стоматології VA Clinic рай...
професійна гігієна та підготовка до лікування карі...
лікування пародонтиту Аліна Анатоліївна в стоматол...
лікування пародонтиту в стоматології VA Clinic рай...
Аліна Вакульчук
Запрошуємо вас в VA Clinic – вашу ідеальну обрану клініку для комфортного і найвищого якісного стоматологічного лікування. Наша клініка відзначається найкращими умовами, передовими технологіями, високоосвіченою командою фахівців і комплексним підходом до кожного пацієнта.
Що робить нас найкращими?
Досвідчений та Чуйний Персонал: У VA Clinic працює команда висококваліфікованих стоматологів і медичних працівників, які завжди готові надати вам персональну увагу та професійний догляд.
Сучасне Обладнання: Це допомагає нам проводити діагностику на найвищому рівні, враховуючи анатомічні особливості ваших зубів і коренів.
Інноваційні Технології: У VA Clinic ми завжди на крок попереду в сфері стоматології. Використовуючи внутрішньоротовий 3D сканер, ми прискорюємо процес і полегшуємо створення зліпків, забезпечуючи вам швидкі та точні результати. Наш Фотопротокол допомагає зафіксувати і наочно продемонструвати естетику вашого посмішки на різних етапах роботи.
Постійне Підтримання Інновацій: Ми завжди стежимо за останніми новинками та технологічними розвитками в сфері стоматології, щоб надавати нашим пацієнтам найкращі можливі послуги.
Кваліфіковані Фахівці: Наш персонал має великий досвід у сфері стоматології і завжди готовий знайти креативні рішення для будь-якого стоматологічного завдання.
Обирайте VA Clinic для максимального комфорту, безпеки і вищої якості стоматологічного лікування. Ми горді тим, що допомагаємо нашим пацієнтам підтримувати здоровий посмішку і насолоджуватися її красою. Зробіть перший крок до здорових зубів і зверніться до нас сьогодні!
Медична освіта
Нму им А.А.Богомольца
Дипломи та сертифікати
навчання в найкращих щоб працювати на вищому рівні
Нагороди
Адрес
Стоматологічна клініка "Стоматологія VA Clinic"
Україна, Хмельницька область, Хмельницький, вулиця Панаса Мирного, 18б
Нещодавно проходив імплантацію зуба у VA Clinic. Дуже хвилювався перед процедурою, але лікар Аліна Анатоліївна усе детально пояснила та заспокоїла. Процедура пройшла набагато легше, ніж очікував. Сучасна клініка та професійний підхід до пацієнтів.
26.02.2026 Андрій Кравчук
Прийшов у VA Clinic з гострим болем виявилось, що потрібно лікування каналів. Якщо чесно, думав, що буде дуже боляче, але все пройшло спокійно. Один зуб врятували, інший, на жаль, довелось видалити. Через певний час зробив імплантацію, встановили коронку. А вже після всього наважився на відбілювання. Зараз посмішка виглядає рівною і світлою. Дуже вдячний Аліні Анатоліївні за терпіння і людяність.
16.10.2025 Борис
Рекомендую VA Clinic усім, хто цінує якість і комфорт! Лікував зуби та робив гігієну та реставрацію, все пройшло ідеально. Ціни адекватні, обслуговування на рівні, лікарі уважні.
Стоматологія VA Clinic створена з любов'ю, турботою та піклуванням про Вас.
Стоматологія VA Clinic створена з любов'ю, турботою та піклуванням про Вас.
Відбілювання зубів Beyond у VA Clinic
Стоматологія VA Clinic створена з любов'ю, турботою та піклуванням про Вас.
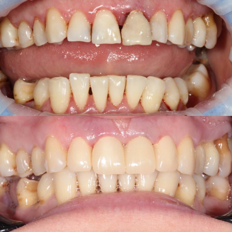
Реставрація зубів - це процес відновлення функцій, форми, розміру та естетичного вигляду зубів, які зазнали пошкодження чи захворювання. Цей процес може включати різні методи і матеріали в залежності від конкретної ситуації та потреб пацієнта. Ось кілька
Стоматологія VA Clinic створена з любов'ю, турботою та піклуванням про Вас.
догляд зубів при встановленні брекетів Стоматологія VA Clinic
Використання міжзубного йоржика допомагає видаляти залишки їжі та наліт. • Для користування міжзубним йоржиком, вставте Його обережно між зубами та здійснюйте рухи вперед- назад,для ефективного очищення просторів між зубами. Міжзубний йоржик - це допоміжн
Як обрати найкраще місце для лікування.
Монопучкова щітка призначення .Стоматологія VA Clinic створена з любов'ю, турботою та піклуванням про Вас.
Стоматологія VA Clinic створена з любов'ю, турботою та піклуванням про Вас.
{{modalVideoName}}
Аліна Вакульчук Видео - 1Запрошуємо вас в VA Clinic – вашу ідеальну обрану клініку для комфортного і найвищого якісного стоматологічного лікування. Наша клініка відзначається найкращими умовами, передовими технологіями, високоосвіченою командою фахівців і комплексним підходом до кожного пацієнта.
Що робить нас найкращими?
Досвідчений та Чуйний Персонал: У VA Clinic працює команда висококваліфікованих стоматологів і медичних працівників, які завжди готові надати вам персональну увагу та професійний догляд.
Сучасне Обладнання: Це допомагає нам проводити діагностику на найвищому рівні, враховуючи анатомічні особливості ваших зубів і коренів.
Інноваційні Технології: У VA Clinic ми завжди на крок попереду в сфері стоматології. Використовуючи внутрішньоротовий 3D сканер, ми прискорюємо процес і полегшуємо створення зліпків, забезпечуючи вам швидкі та точні результати. Наш Фотопротокол допомагає зафіксувати і наочно продемонструвати естетику вашого посмішки на різних етапах роботи.
Постійне Підтримання Інновацій: Ми завжди стежимо за останніми новинками та технологічними розвитками в сфері стоматології, щоб надавати нашим пацієнтам найкращі можливі послуги.
Кваліфіковані Фахівці: Наш персонал має великий досвід у сфері стоматології і завжди готовий знайти креативні рішення для будь-якого стоматологічного завдання.
Обирайте VA Clinic для максимального комфорту, безпеки і вищої якості стоматологічного лікування. Ми горді тим, що допомагаємо нашим пацієнтам підтримувати здоровий посмішку і насолоджуватися її красою. Зробіть перший крок до здорових зубів і зверніться до нас сьогодні!
Аліна Вакульчук Видео - 2Запрошуємо вас в VA Clinic – вашу ідеальну обрану клініку для комфортного і найвищого якісного стоматологічного лікування. Наша клініка відзначається найкращими умовами, передовими технологіями, високоосвіченою командою фахівців і комплексним підходом до кожного пацієнта.
Що робить нас найкращими?
Досвідчений та Чуйний Персонал: У VA Clinic працює команда висококваліфікованих стоматологів і медичних працівників, які завжди готові надати вам персональну увагу та професійний догляд.
Сучасне Обладнання: Це допомагає нам проводити діагностику на найвищому рівні, враховуючи анатомічні особливості ваших зубів і коренів.
Інноваційні Технології: У VA Clinic ми завжди на крок попереду в сфері стоматології. Використовуючи внутрішньоротовий 3D сканер, ми прискорюємо процес і полегшуємо створення зліпків, забезпечуючи вам швидкі та точні результати. Наш Фотопротокол допомагає зафіксувати і наочно продемонструвати естетику вашого посмішки на різних етапах роботи.
Постійне Підтримання Інновацій: Ми завжди стежимо за останніми новинками та технологічними розвитками в сфері стоматології, щоб надавати нашим пацієнтам найкращі можливі послуги.
Кваліфіковані Фахівці: Наш персонал має великий досвід у сфері стоматології і завжди готовий знайти креативні рішення для будь-якого стоматологічного завдання.
Обирайте VA Clinic для максимального комфорту, безпеки і вищої якості стоматологічного лікування. Ми горді тим, що допомагаємо нашим пацієнтам підтримувати здоровий посмішку і насолоджуватися її красою. Зробіть перший крок до здорових зубів і зверніться до нас сьогодні!
Аліна Вакульчук Видео - 3Запрошуємо вас в VA Clinic – вашу ідеальну обрану клініку для комфортного і найвищого якісного стоматологічного лікування. Наша клініка відзначається найкращими умовами, передовими технологіями, високоосвіченою командою фахівців і комплексним підходом до кожного пацієнта.
Що робить нас найкращими?
Досвідчений та Чуйний Персонал: У VA Clinic працює команда висококваліфікованих стоматологів і медичних працівників, які завжди готові надати вам персональну увагу та професійний догляд.
Сучасне Обладнання: Це допомагає нам проводити діагностику на найвищому рівні, враховуючи анатомічні особливості ваших зубів і коренів.
Інноваційні Технології: У VA Clinic ми завжди на крок попереду в сфері стоматології. Використовуючи внутрішньоротовий 3D сканер, ми прискорюємо процес і полегшуємо створення зліпків, забезпечуючи вам швидкі та точні результати. Наш Фотопротокол допомагає зафіксувати і наочно продемонструвати естетику вашого посмішки на різних етапах роботи.
Постійне Підтримання Інновацій: Ми завжди стежимо за останніми новинками та технологічними розвитками в сфері стоматології, щоб надавати нашим пацієнтам найкращі можливі послуги.
Кваліфіковані Фахівці: Наш персонал має великий досвід у сфері стоматології і завжди готовий знайти креативні рішення для будь-якого стоматологічного завдання.
Обирайте VA Clinic для максимального комфорту, безпеки і вищої якості стоматологічного лікування. Ми горді тим, що допомагаємо нашим пацієнтам підтримувати здоровий посмішку і насолоджуватися її красою. Зробіть перший крок до здорових зубів і зверніться до нас сьогодні!
Аліна Вакульчук Видео - 4Запрошуємо вас в VA Clinic – вашу ідеальну обрану клініку для комфортного і найвищого якісного стоматологічного лікування. Наша клініка відзначається найкращими умовами, передовими технологіями, високоосвіченою командою фахівців і комплексним підходом до кожного пацієнта.
Що робить нас найкращими?
Досвідчений та Чуйний Персонал: У VA Clinic працює команда висококваліфікованих стоматологів і медичних працівників, які завжди готові надати вам персональну увагу та професійний догляд.
Сучасне Обладнання: Це допомагає нам проводити діагностику на найвищому рівні, враховуючи анатомічні особливості ваших зубів і коренів.
Інноваційні Технології: У VA Clinic ми завжди на крок попереду в сфері стоматології. Використовуючи внутрішньоротовий 3D сканер, ми прискорюємо процес і полегшуємо створення зліпків, забезпечуючи вам швидкі та точні результати. Наш Фотопротокол допомагає зафіксувати і наочно продемонструвати естетику вашого посмішки на різних етапах роботи.
Постійне Підтримання Інновацій: Ми завжди стежимо за останніми новинками та технологічними розвитками в сфері стоматології, щоб надавати нашим пацієнтам найкращі можливі послуги.
Кваліфіковані Фахівці: Наш персонал має великий досвід у сфері стоматології і завжди готовий знайти креативні рішення для будь-якого стоматологічного завдання.
Обирайте VA Clinic для максимального комфорту, безпеки і вищої якості стоматологічного лікування. Ми горді тим, що допомагаємо нашим пацієнтам підтримувати здоровий посмішку і насолоджуватися її красою. Зробіть перший крок до здорових зубів і зверніться до нас сьогодні!
Аліна Вакульчук Видео - 5Запрошуємо вас в VA Clinic – вашу ідеальну обрану клініку для комфортного і найвищого якісного стоматологічного лікування. Наша клініка відзначається найкращими умовами, передовими технологіями, високоосвіченою командою фахівців і комплексним підходом до кожного пацієнта.
Що робить нас найкращими?
Досвідчений та Чуйний Персонал: У VA Clinic працює команда висококваліфікованих стоматологів і медичних працівників, які завжди готові надати вам персональну увагу та професійний догляд.
Сучасне Обладнання: Це допомагає нам проводити діагностику на найвищому рівні, враховуючи анатомічні особливості ваших зубів і коренів.
Інноваційні Технології: У VA Clinic ми завжди на крок попереду в сфері стоматології. Використовуючи внутрішньоротовий 3D сканер, ми прискорюємо процес і полегшуємо створення зліпків, забезпечуючи вам швидкі та точні результати. Наш Фотопротокол допомагає зафіксувати і наочно продемонструвати естетику вашого посмішки на різних етапах роботи.
Постійне Підтримання Інновацій: Ми завжди стежимо за останніми новинками та технологічними розвитками в сфері стоматології, щоб надавати нашим пацієнтам найкращі можливі послуги.
Кваліфіковані Фахівці: Наш персонал має великий досвід у сфері стоматології і завжди готовий знайти креативні рішення для будь-якого стоматологічного завдання.
Обирайте VA Clinic для максимального комфорту, безпеки і вищої якості стоматологічного лікування. Ми горді тим, що допомагаємо нашим пацієнтам підтримувати здоровий посмішку і насолоджуватися її красою. Зробіть перший крок до здорових зубів і зверніться до нас сьогодні!
Аліна Вакульчук Видео - 6Запрошуємо вас в VA Clinic – вашу ідеальну обрану клініку для комфортного і найвищого якісного стоматологічного лікування. Наша клініка відзначається найкращими умовами, передовими технологіями, високоосвіченою командою фахівців і комплексним підходом до кожного пацієнта.
Що робить нас найкращими?
Досвідчений та Чуйний Персонал: У VA Clinic працює команда висококваліфікованих стоматологів і медичних працівників, які завжди готові надати вам персональну увагу та професійний догляд.
Сучасне Обладнання: Це допомагає нам проводити діагностику на найвищому рівні, враховуючи анатомічні особливості ваших зубів і коренів.
Інноваційні Технології: У VA Clinic ми завжди на крок попереду в сфері стоматології. Використовуючи внутрішньоротовий 3D сканер, ми прискорюємо процес і полегшуємо створення зліпків, забезпечуючи вам швидкі та точні результати. Наш Фотопротокол допомагає зафіксувати і наочно продемонструвати естетику вашого посмішки на різних етапах роботи.
Постійне Підтримання Інновацій: Ми завжди стежимо за останніми новинками та технологічними розвитками в сфері стоматології, щоб надавати нашим пацієнтам найкращі можливі послуги.
Кваліфіковані Фахівці: Наш персонал має великий досвід у сфері стоматології і завжди готовий знайти креативні рішення для будь-якого стоматологічного завдання.
Обирайте VA Clinic для максимального комфорту, безпеки і вищої якості стоматологічного лікування. Ми горді тим, що допомагаємо нашим пацієнтам підтримувати здоровий посмішку і насолоджуватися її красою. Зробіть перший крок до здорових зубів і зверніться до нас сьогодні!
Аліна Вакульчук Видео - 7Запрошуємо вас в VA Clinic – вашу ідеальну обрану клініку для комфортного і найвищого якісного стоматологічного лікування. Наша клініка відзначається найкращими умовами, передовими технологіями, високоосвіченою командою фахівців і комплексним підходом до кожного пацієнта.
Що робить нас найкращими?
Досвідчений та Чуйний Персонал: У VA Clinic працює команда висококваліфікованих стоматологів і медичних працівників, які завжди готові надати вам персональну увагу та професійний догляд.
Сучасне Обладнання: Це допомагає нам проводити діагностику на найвищому рівні, враховуючи анатомічні особливості ваших зубів і коренів.
Інноваційні Технології: У VA Clinic ми завжди на крок попереду в сфері стоматології. Використовуючи внутрішньоротовий 3D сканер, ми прискорюємо процес і полегшуємо створення зліпків, забезпечуючи вам швидкі та точні результати. Наш Фотопротокол допомагає зафіксувати і наочно продемонструвати естетику вашого посмішки на різних етапах роботи.
Постійне Підтримання Інновацій: Ми завжди стежимо за останніми новинками та технологічними розвитками в сфері стоматології, щоб надавати нашим пацієнтам найкращі можливі послуги.
Кваліфіковані Фахівці: Наш персонал має великий досвід у сфері стоматології і завжди готовий знайти креативні рішення для будь-якого стоматологічного завдання.
Обирайте VA Clinic для максимального комфорту, безпеки і вищої якості стоматологічного лікування. Ми горді тим, що допомагаємо нашим пацієнтам підтримувати здоровий посмішку і насолоджуватися її красою. Зробіть перший крок до здорових зубів і зверніться до нас сьогодні!
Аліна Вакульчук Видео - 8Запрошуємо вас в VA Clinic – вашу ідеальну обрану клініку для комфортного і найвищого якісного стоматологічного лікування. Наша клініка відзначається найкращими умовами, передовими технологіями, високоосвіченою командою фахівців і комплексним підходом до кожного пацієнта.
Що робить нас найкращими?
Досвідчений та Чуйний Персонал: У VA Clinic працює команда висококваліфікованих стоматологів і медичних працівників, які завжди готові надати вам персональну увагу та професійний догляд.
Сучасне Обладнання: Це допомагає нам проводити діагностику на найвищому рівні, враховуючи анатомічні особливості ваших зубів і коренів.
Інноваційні Технології: У VA Clinic ми завжди на крок попереду в сфері стоматології. Використовуючи внутрішньоротовий 3D сканер, ми прискорюємо процес і полегшуємо створення зліпків, забезпечуючи вам швидкі та точні результати. Наш Фотопротокол допомагає зафіксувати і наочно продемонструвати естетику вашого посмішки на різних етапах роботи.
Постійне Підтримання Інновацій: Ми завжди стежимо за останніми новинками та технологічними розвитками в сфері стоматології, щоб надавати нашим пацієнтам найкращі можливі послуги.
Кваліфіковані Фахівці: Наш персонал має великий досвід у сфері стоматології і завжди готовий знайти креативні рішення для будь-якого стоматологічного завдання.
Обирайте VA Clinic для максимального комфорту, безпеки і вищої якості стоматологічного лікування. Ми горді тим, що допомагаємо нашим пацієнтам підтримувати здоровий посмішку і насолоджуватися її красою. Зробіть перший крок до здорових зубів і зверніться до нас сьогодні!
Аліна Вакульчук Видео - 9Запрошуємо вас в VA Clinic – вашу ідеальну обрану клініку для комфортного і найвищого якісного стоматологічного лікування. Наша клініка відзначається найкращими умовами, передовими технологіями, високоосвіченою командою фахівців і комплексним підходом до кожного пацієнта.
Що робить нас найкращими?
Досвідчений та Чуйний Персонал: У VA Clinic працює команда висококваліфікованих стоматологів і медичних працівників, які завжди готові надати вам персональну увагу та професійний догляд.
Сучасне Обладнання: Це допомагає нам проводити діагностику на найвищому рівні, враховуючи анатомічні особливості ваших зубів і коренів.
Інноваційні Технології: У VA Clinic ми завжди на крок попереду в сфері стоматології. Використовуючи внутрішньоротовий 3D сканер, ми прискорюємо процес і полегшуємо створення зліпків, забезпечуючи вам швидкі та точні результати. Наш Фотопротокол допомагає зафіксувати і наочно продемонструвати естетику вашого посмішки на різних етапах роботи.
Постійне Підтримання Інновацій: Ми завжди стежимо за останніми новинками та технологічними розвитками в сфері стоматології, щоб надавати нашим пацієнтам найкращі можливі послуги.
Кваліфіковані Фахівці: Наш персонал має великий досвід у сфері стоматології і завжди готовий знайти креативні рішення для будь-якого стоматологічного завдання.
Обирайте VA Clinic для максимального комфорту, безпеки і вищої якості стоматологічного лікування. Ми горді тим, що допомагаємо нашим пацієнтам підтримувати здоровий посмішку і насолоджуватися її красою. Зробіть перший крок до здорових зубів і зверніться до нас сьогодні!
Аліна Вакульчук Видео - 10Запрошуємо вас в VA Clinic – вашу ідеальну обрану клініку для комфортного і найвищого якісного стоматологічного лікування. Наша клініка відзначається найкращими умовами, передовими технологіями, високоосвіченою командою фахівців і комплексним підходом до кожного пацієнта.
Що робить нас найкращими?
Досвідчений та Чуйний Персонал: У VA Clinic працює команда висококваліфікованих стоматологів і медичних працівників, які завжди готові надати вам персональну увагу та професійний догляд.
Сучасне Обладнання: Це допомагає нам проводити діагностику на найвищому рівні, враховуючи анатомічні особливості ваших зубів і коренів.
Інноваційні Технології: У VA Clinic ми завжди на крок попереду в сфері стоматології. Використовуючи внутрішньоротовий 3D сканер, ми прискорюємо процес і полегшуємо створення зліпків, забезпечуючи вам швидкі та точні результати. Наш Фотопротокол допомагає зафіксувати і наочно продемонструвати естетику вашого посмішки на різних етапах роботи.
Постійне Підтримання Інновацій: Ми завжди стежимо за останніми новинками та технологічними розвитками в сфері стоматології, щоб надавати нашим пацієнтам найкращі можливі послуги.
Кваліфіковані Фахівці: Наш персонал має великий досвід у сфері стоматології і завжди готовий знайти креативні рішення для будь-якого стоматологічного завдання.
Обирайте VA Clinic для максимального комфорту, безпеки і вищої якості стоматологічного лікування. Ми горді тим, що допомагаємо нашим пацієнтам підтримувати здоровий посмішку і насолоджуватися її красою. Зробіть перший крок до здорових зубів і зверніться до нас сьогодні!
Аліна Вакульчук Видео - 11Запрошуємо вас в VA Clinic – вашу ідеальну обрану клініку для комфортного і найвищого якісного стоматологічного лікування. Наша клініка відзначається найкращими умовами, передовими технологіями, високоосвіченою командою фахівців і комплексним підходом до кожного пацієнта.
Що робить нас найкращими?
Досвідчений та Чуйний Персонал: У VA Clinic працює команда висококваліфікованих стоматологів і медичних працівників, які завжди готові надати вам персональну увагу та професійний догляд.
Сучасне Обладнання: Це допомагає нам проводити діагностику на найвищому рівні, враховуючи анатомічні особливості ваших зубів і коренів.
Інноваційні Технології: У VA Clinic ми завжди на крок попереду в сфері стоматології. Використовуючи внутрішньоротовий 3D сканер, ми прискорюємо процес і полегшуємо створення зліпків, забезпечуючи вам швидкі та точні результати. Наш Фотопротокол допомагає зафіксувати і наочно продемонструвати естетику вашого посмішки на різних етапах роботи.
Постійне Підтримання Інновацій: Ми завжди стежимо за останніми новинками та технологічними розвитками в сфері стоматології, щоб надавати нашим пацієнтам найкращі можливі послуги.
Кваліфіковані Фахівці: Наш персонал має великий досвід у сфері стоматології і завжди готовий знайти креативні рішення для будь-якого стоматологічного завдання.
Обирайте VA Clinic для максимального комфорту, безпеки і вищої якості стоматологічного лікування. Ми горді тим, що допомагаємо нашим пацієнтам підтримувати здоровий посмішку і насолоджуватися її красою. Зробіть перший крок до здорових зубів і зверніться до нас сьогодні!
09.03.2026 Дмитро Кравченко
Нещодавно проходив імплантацію зуба у VA Clinic. Дуже хвилювався перед процедурою, але лікар Аліна Анатоліївна усе детально пояснила та заспокоїла. Процедура пройшла набагато легше, ніж очікував. Сучасна клініка та професійний підхід до пацієнтів.