Хмельницький

Лікуємо від 1до 4 ступеня тяжкості пародонтиту - від 3000 грн

(Стоматолог Аліна, Хмельницький)

від 3000 грн

за процедуру

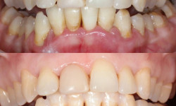
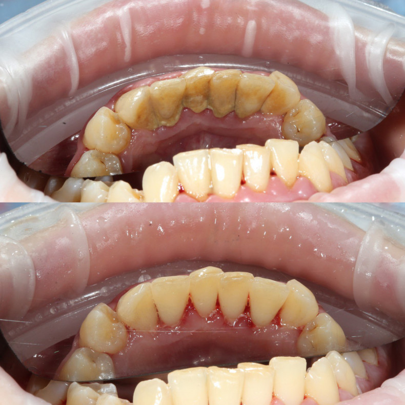
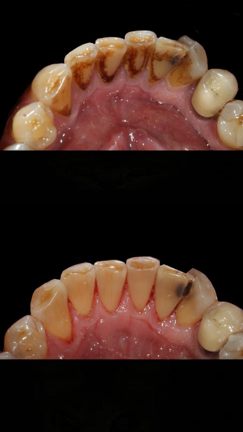
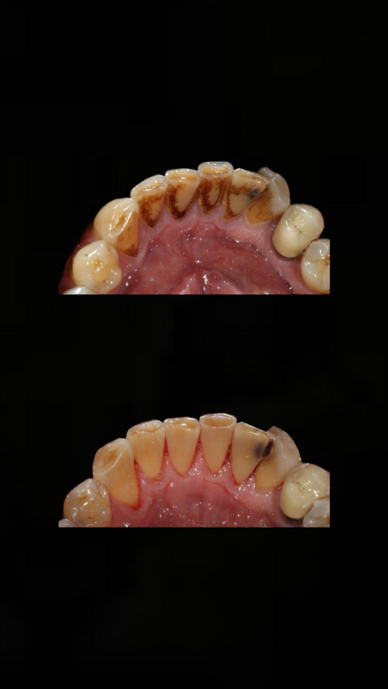
Лікування пародонтиту від 1 до 4 ступеня тяжкості у Хмельницькому Пародонтит – це запальне захворювання ясен і тканин, що утримують зуби. Без лікування воно прогресує від початкового нальоту й кровоточивості до серйозної втрати кісткової тканини та рухлив

Питання 1: Що таке пародонтит?
Відповідь: Пародонтит – це запалення ясен і тканин, які утримують зуби. Без лікування він призводить до втрати кісткової тканини та рухливості зубів.

Питання 2: Які стадії пародонтиту існують?
Відповідь: Виділяють 4 ступені: від легкої форми з нальотом і кровоточивістю до важкої – із втратою кісткової тканини та рухливими зубами.

Питання 3: Як лікують пародонтит?
Відповідь: Лікування включає професійну гігієну, кюретаж, комплексну терапію, шинування, а на пізніх стадіях – хірургію та протезування.

Питання 4: Чи можна вилікувати пародонтит повністю?
Відповідь: На ранніх стадіях пародонтит можна стабілізувати. На пізніх – зупинити прогресування та відновити функцію ясен і зубів.

Питання 5: Як часто потрібно відвідувати пародонтолога?
Відповідь: Рекомендується проходити огляд і професійну чистку кожні 6 місяців, а при наявності симптомів звертатися негайно.

Графік роботи
Пн 10:00 – 20:00
Вт 10:00 – 20:00
Ср 10:00 – 20:00
Чт 10:00 – 20:00
Пт 10:00 – 20:00
Сб Вихідний
Вс Вихідний
Дивитися на карті   Записатись

Ви власник?


до управління сторінкою

Знайшли помилку?