Хмельницкий

Лікуємо від 1до 4 ступеня тяжкості пародонтиту - от 3000 грн

(Стоматолог Аліна, Хмельницкий)

от 3000 грн

за процедуру

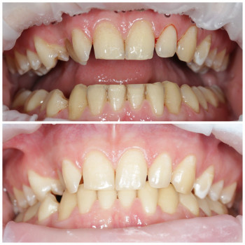
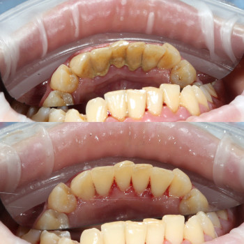
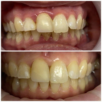
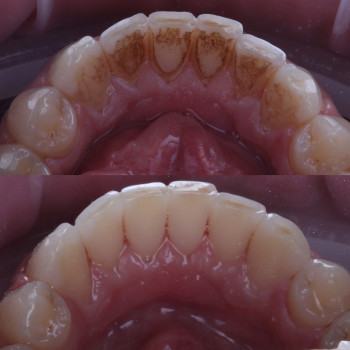
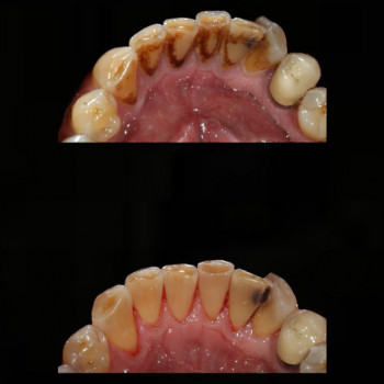
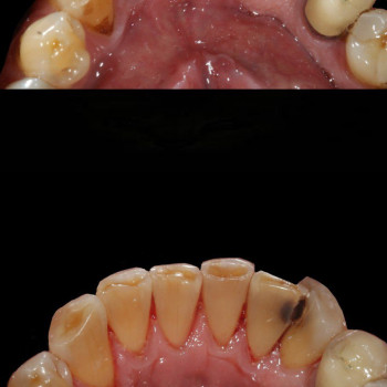
Лікування пародонтиту від 1 до 4 ступеня тяжкості у Хмельницькому Пародонтит – це запальне захворювання ясен і тканин, що утримують зуби. Без лікування воно прогресує від початкового нальоту й кровоточивості до серйозної втрати кісткової тканини та рухливості зубів. У нашій клініці ми проводимо комплексне лікування пародонтиту будь-якої стадії – від 1 до 4 ступеня тяжкості. ✔️ 1 ступінь – професійна гігієна, усунення нальоту, навчання догляду ✔️ 2 ступінь – кюретаж ясенних кишень, лікування запалення ✔️ 3 ступінь – комплексна терапія, шинирование, відновлення тканин ✔️ 4 ступінь – хірургічні методи, імплантація та протезування при втраті зубів Ми використовуємо сучасні методи: ультразвукову чистку, Air Flow, закритий кюретаж. Регулярне звернення до пародонтолога дозволяє зупинити прогресування хвороби, зберегти власні зуби та повернути здоров’я ясен. 👉 Запишіться на консультацію та лікування пародонтиту у Хмельницькому – відновіть здоров’я ротової порожнини на будь-якій стадії захворювання!

Питання 1: Що таке пародонтит?
Відповідь: Пародонтит – це запалення ясен і тканин, які утримують зуби. Без лікування він призводить до втрати кісткової тканини та рухливості зубів.

Питання 2: Які стадії пародонтиту існують?
Відповідь: Виділяють 4 ступені: від легкої форми з нальотом і кровоточивістю до важкої – із втратою кісткової тканини та рухливими зубами.

Питання 3: Як лікують пародонтит?
Відповідь: Лікування включає професійну гігієну, кюретаж, комплексну терапію, шинування, а на пізніх стадіях – хірургію та протезування.

Питання 4: Чи можна вилікувати пародонтит повністю?
Відповідь: На ранніх стадіях пародонтит можна стабілізувати. На пізніх – зупинити прогресування та відновити функцію ясен і зубів.

Питання 5: Як часто потрібно відвідувати пародонтолога?
Відповідь: Рекомендується проходити огляд і професійну чистку кожні 6 місяців, а при наявності симптомів звертатися негайно.

График работы
Пн 10:00 – 20:00
Вт 10:00 – 20:00
Ср 10:00 – 20:00
Чт 10:00 – 20:00
Пт 10:00 – 20:00
Сб Выходной
Вс Выходной
Смотреть на карте   Записаться

Вы владелец?


к управлению страницей

Нашли ошибку?