Хмельницкий

Лікування пародонтиту - от 15000 грн

(Стоматолог Аліна, Хмельницкий)

от 15000 грн

за процедуру

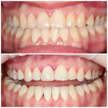
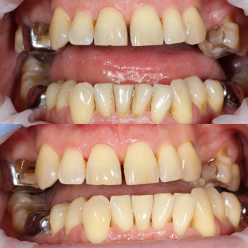
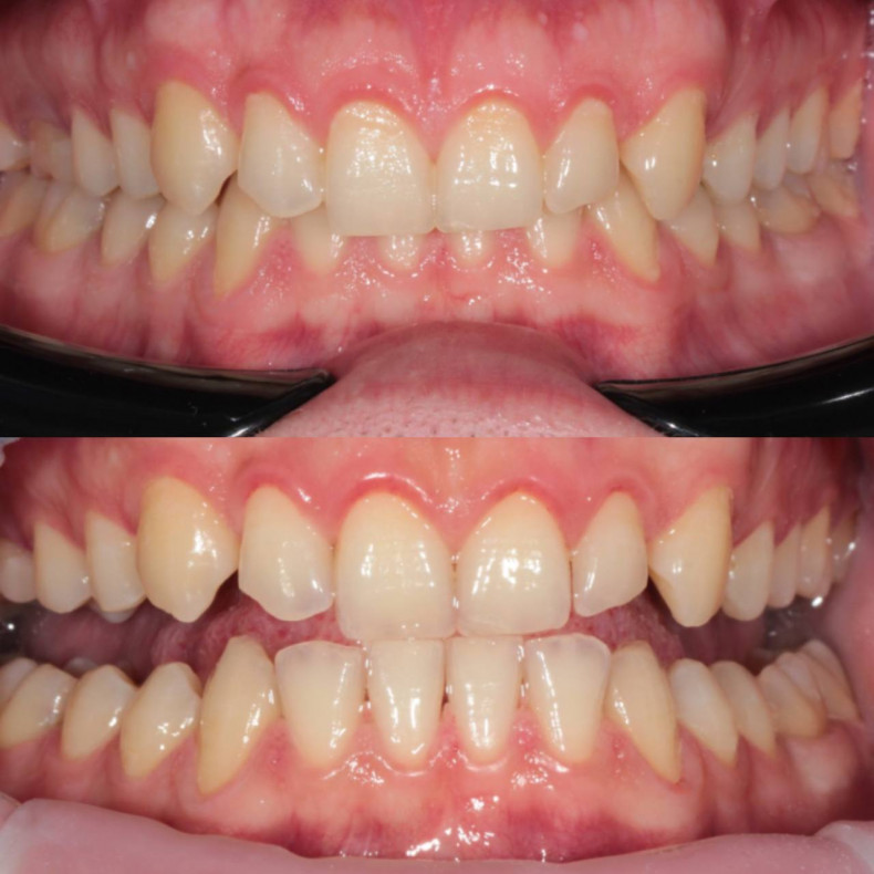
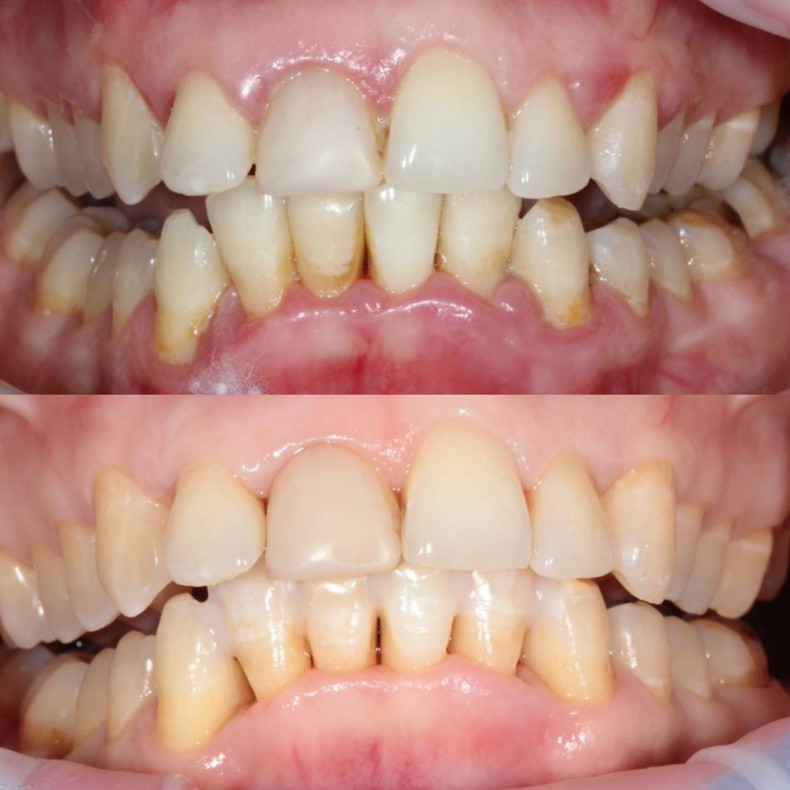
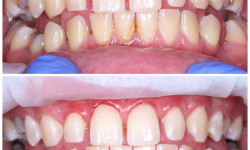
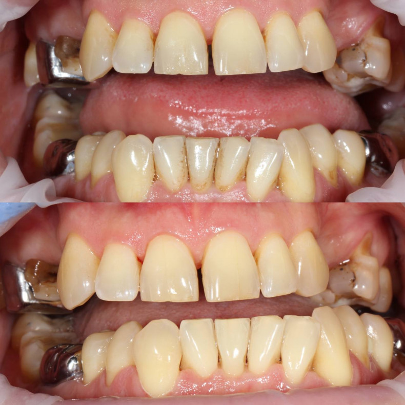
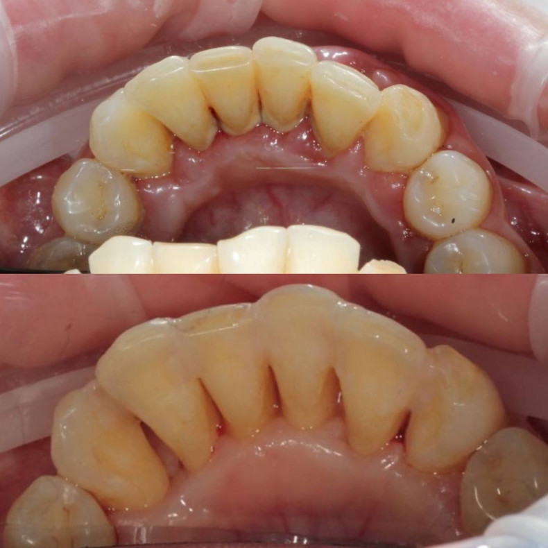
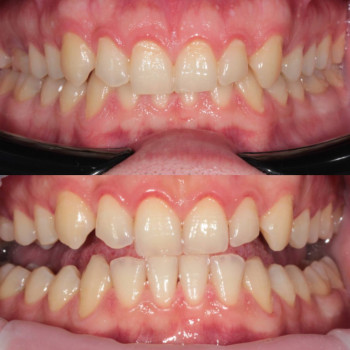
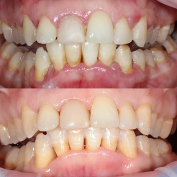
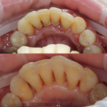
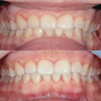
Пародонтит - це серйозне захворювання ясен та тканин, що оточують зуби. Воно може призвести до втрати зубів, якщо не лікувати своєчасно. Лікування парадонтиту є важливим для підтримки здоров'я ясен та збереження функціональності зубів. Давайте розглянемо, як проходить лікування цього захворювання.

Кроки лікування парадонтиту Лікування парадонтиту включає в себе наступні кроки: Діагностика: Перед початком лікування стоматолог проводить детальний огляд та діагностику стану ясен та зубів. До цього може включатися рентгенографія для оцінки стану кісток, що оточують зуби. Гігієна ротової порожнини: Пацієнт навчається правильної гігієні ротової порожнини, включаючи чищення зубів та використання нитки для зубів. Професійне чищення зубів: Стоматолог або гігієніст проводять професійне чищення зубів та коренів, щоб видалити зубний нальот та зубний камінь. Глибоке чищення коренів (скейлінг та рутинг): У випадках серйозного парадонтиту може бути проведений процедура скейлінгу та рутингу, під час якої видаляються зубні відкладення та запалені тканини з коренів зубів. Лікування локальних уражень: Якщо є локальні ураження, наприклад, кисти або абсцеси, вони можуть бути оброблені або видалені. Антисептичні засоби і антибіотики: У деяких випадках може бути рекомендовано застосування антисептичних засобів та антибіотиків для боротьби з інфекцією. Хірургічні втручання (за необхідності): У важких випадках парадонтиту можуть бути необхідні хірургічні втручання, такі як плазмоліфтинг чи хірургічне підняття ясен. Підтримуюча терапія: Після лікування важливо здійснювати підтримуючу терапію, включаючи регулярні візити до стоматолога та дотримання правильної гігієни ротової порожнини. Лікування парадонтиту є важливим кроком для збереження здоров'я та функціональності зубів. Якщо у вас є ознаки парадонтиту, такі як кровотеча ясен або підвищена чутливість, не вагайтеся звертатися до стоматолога для діагностики та лікування. Регулярні візити до стоматолога для профілактичних оглядів та дотримання рекомендацій стоматолога допоможуть зберегти ваші зуби здоровими та міцними.

График работы
Пн 10:00 – 20:00
Вт 10:00 – 20:00
Ср 10:00 – 20:00
Чт 10:00 – 20:00
Пт 10:00 – 20:00
Сб Выходной
Вс Выходной
Смотреть на карте   Записаться

Вы владелец?


к управлению страницей

Нашли ошибку?