Хмельницкий

Професійна гігієна ротової порожнини зубів (Чистка зубів) - от 2500 грн

(Стоматолог Аліна, Хмельницкий)

от 2500 грн

за процедуру

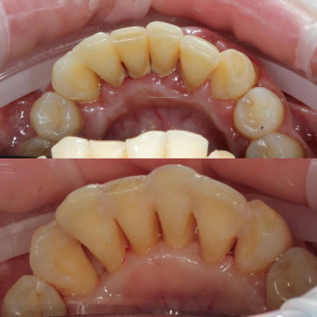
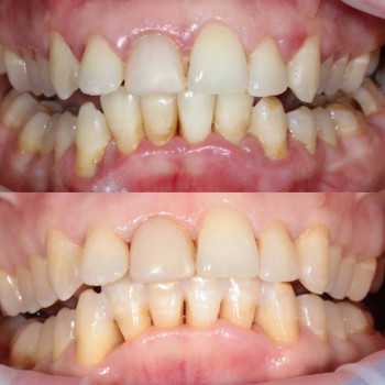
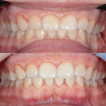
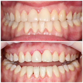
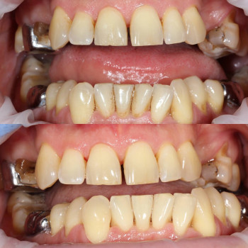
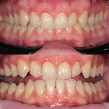
Професійна гігієна ротової порожнини зубів - це регулярна процедура, яка включає видалення зубного нальоту та зубного каменю. Вона сприяє підтримці гігієни ротової порожнини та запобігає розвитку карієсу та пародонтиту. Регулярні візити до стоматолога для гігієни ротової порожнини зубів допомагають зберегти вашу усмішку здоровою та свіжою.

Кроки професійної гігієни ротової порожнини рота Процедура професійної гігієни порожнини рота включає в себе наступні кроки: Огляд ротової порожнини: Пародонтолог або гігієніст спочатку проводить огляд ротової порожнини, оцінюючи стан вашого прикусу, зубів і ясен. Видалення твердого нальоту: Зубний камінь видаляються за допомогою спеціальних інструментів, таких як ультразвукові скалери та ручні інструменти кюрети Грейсі. Видалення  м‘якого нальоту та міжзубних просторів Інтердентальні простори між зубами та м’який наліт чистяться за допомогою повітр’яно-абразивних апаратів та спеціальних порошків. Полірування зубів: Зуби поліруються спеціальними пастами та щітками, щоб забезпечити гладкість поверхні. Фторування (за необхідності): Фтор може бути нанесений на поверхні зубів, щоб зміцнити їх емаль та запобігти карієсу. Регулярність домашньої гігієни зубів Регулярність домашньої гігієни зубів грає важливу роль у збереженні здоров'я вашої ротової порожнини. Рекомендується чищення зубів два рази на день - вранці та перед сном. У додаток до цього, важливо регулярно відвідувати стоматолога для профілактичних оглядів та професійної гігієни зубів. Важливість професійної гігієни ротової порожнини Професійна гігієна зубів не лише покращує зовнішній вигляд вашої усмішки, але і сприяє загалом здоров'ю ротової порожнини. Вона допомагає уникнути карієсу, запалення ясен, зубного каменю та погіршення запаху з рота. Регулярний догляд за зубами і яснами може також виявити ранні ознаки серйозних захворювань, таких як пародонтит чи рак порожнини рота. Ці процедури є важливими для догляду за зубами та здоров'ям ротової порожнини. Рекомендується звертатися до досвідченого стоматолога для професійного лікування та підтримки вашої усмішки в найкращому стані. Висновок Лікування зубів - це важливий аспект загального догляду за здоров'ям ротової порожнини. Збереження здорових зубів допомагає вам жувати їжу, говорити та посміхатися без болю та незручностей. Не забувайте про регулярні візити до стоматолога та правильну гігієну, і ваша усмішка завжди буде привабливою та здоровою.

График работы
Пн 10:00 – 20:00
Вт 10:00 – 20:00
Ср 10:00 – 20:00
Чт 10:00 – 20:00
Пт 10:00 – 20:00
Сб Выходной
Вс Выходной
Смотреть на карте   Записаться

Вы владелец?


к управлению страницей

Нашли ошибку?