Хмельницкий

Протезування зубів - от 2500 грн

(Стоматолог Аліна, Хмельницкий)

от 2500 грн

за процедуру

Протезування зубів - це важливий аспект стоматологічного догляду, який дозволяє відновити втрачені або пошкоджені зуби за допомогою протезування зубів. Ця процедура допомагає пацієнтам відновити не лише функціональність зубів, але й природний вигляд посмішки. Давайте детальніше розглянемо, як відбувається процес протезування зубів та які види протезів існують.

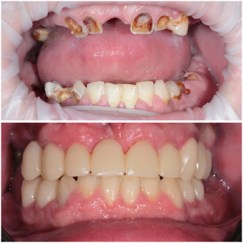
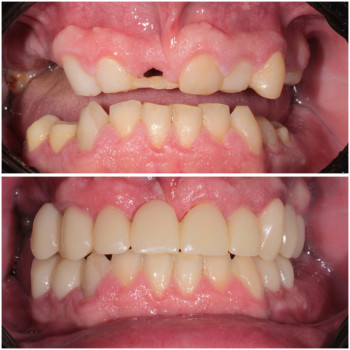
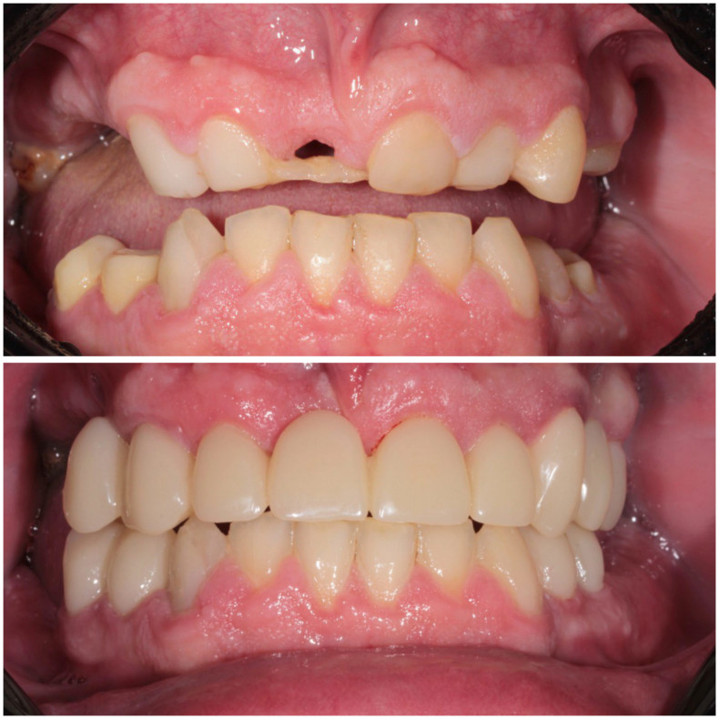
Протезування зубів може включати в себе різні види протезів: Знімні протези: Ці протези можна виймати з рота. До них відносяться часткові або повні знімні протези, які зазвичай прикріплюються до залишкових зубів або ясенних тканин. Фіксовані протези: Ці протези закріплюються нерухомо в роті і не можуть бути видалені без стоматологічного втручання. До них відносяться коронки, мости та імплантати.   Знімні протези Знімні  протези - це відмінний спосіб відновити втрачені зуби та повернути природний вигляд посмішки. Ці протези можуть бути частковими, коли вони замінюють лише певні втрачені зуби, або повними, які відтворюють всю зубну дугу. Переваги знімних протезів: 1. Комфорт Знімні протези ретельно виготовляються під ваші індивідуальні параметри, що забезпечує їх комфортне носіння та прилягання до ясен. 2. Функціональність Ці протези допомагають вам правильно пережовувати їжу та відновити функціональність ротової порожнини. 3. Естетика Знімні протези надають вашій усмішці природний вигляд, що допомагає підвищити самооцінку та відчуття впевненості. 4. Легкість догляду Протези можна виймати для легкого чищення та догляду, що спрощує процес гігієни. 5. Доступність Знімні протези - це відносно доступний спосіб відновлення зубів порівняно з іншими методами, такими як імплантація. Фіксовані Протези Фіксовані зубні протези - це ідеальний варіант для тих, хто шукає тривалу функціональність та природний вигляд своїх зубів. Ці протези закріплюються нерухомо в роті і не видаляються без стоматологічного втручання. Переваги фіксованих протезів: 1. Надійність Фіксовані протези стійкі та надійні. 2. Природний Вигляд Ці протези виготовляються індивідуально під вашу ротову порожнину, тому вони надають вашій усмішці природний вигляд. 3. Функціональність Фіксовані протези допомагають повернути повну функціональність ротової порожнини, дозволяючи правильно пережовувати їжу та говорити без обмежень. 4. Довготривала Служба Ці протези служать тривалий. 5. Стійкість до Карієсу Фіксовані протези також допомагають захищати природні зуби від карієсу і абразії. Фіксовані протези включають в себе коронки, мости та імплантати, які встановлюються стоматологом з врахуванням вашого індивідуального стану ротової порожнини. Якщо ви бажаєте повернути собі не лише усмішку, але і повну функціональність ротової порожнини, фіксовані протези можуть бути відмінним рішенням. Наші професійні стоматологи готові допомогти вам вибрати та встановити ідеальний тип фіксованих протезів, щоб ви могли насолоджуватися життям знову! Кроки процедури протезування зубів Процедура протезування зубів зазвичай включає наступні кроки: Консультація зі стоматологом: Перший крок - це консультація зі стоматологом, під час якої визначається необхідність протезування та обирається відповідний вид протезу. Відбитки і вимірювання: Для створення протезу стоматолог робить відбитки ротової порожнини та вимірює параметри. Виготовлення протезу: На основі відбитків і вимірювань виготовляють індивідуальний зубний протез. Монтаж і регулювання: Після виготовлення протез монтують в роті пацієнта і регулюють для забезпечення правильного прикусу і комфорту. Догляд і обслуговування: Протез потребує регулярного догляду і обслуговування з боку стоматолога.   Протезування зубів - це важлива стоматологічна процедура, яка може значно покращити якість життя пацієнта. Воно допомагає відновити не лише функціональність зубів, але і самооцінку, природний вигляд посмішки та здатність правильно пережовувати їжу. Процес протезування зубів може бути тривалим, але результат вартий зусиль. Важливо відзначити, що вибір відповідного виду протезу та співпраця зі стоматологом грають вирішальну роль у досягненні найкращого результату. Після встановлення протезу пацієнти повинні дотримуватися рекомендацій стоматолога та регулярно відвідувати стоматологічний кабінет для обслуговування та профілактичних оглядів. Збереження здоров'я і краси посмішки - завдання, яке можна досягти завдяки сучасним методам стоматології та протезуванню зубів. Ваша посмішка заслуговує на найкращий догляд, і стоматологи готові допомогти вам відновити її привабливий вигляд і функціональність. Не відкладайте свою посмішку на потім. Зверніться до нас вже сьогодні та відкрийте для себе новий рівень дбайливого стоматологічного обслуговування. З нами ваша посмішка стане яскравою та незабутньою!

График работы
Пн 10:00 – 20:00
Вт 10:00 – 20:00
Ср 10:00 – 20:00
Чт 10:00 – 20:00
Пт 10:00 – 20:00
Сб Выходной
Вс Выходной
Смотреть на карте   Записаться

Вы владелец?


к управлению страницей

Нашли ошибку?