Хмельницкий

Відбілювання зубів Beyond – білосніжна посмішка. - от 5500 грн

(Стоматолог Аліна, Хмельницкий)

от 5500 грн

за процедуру

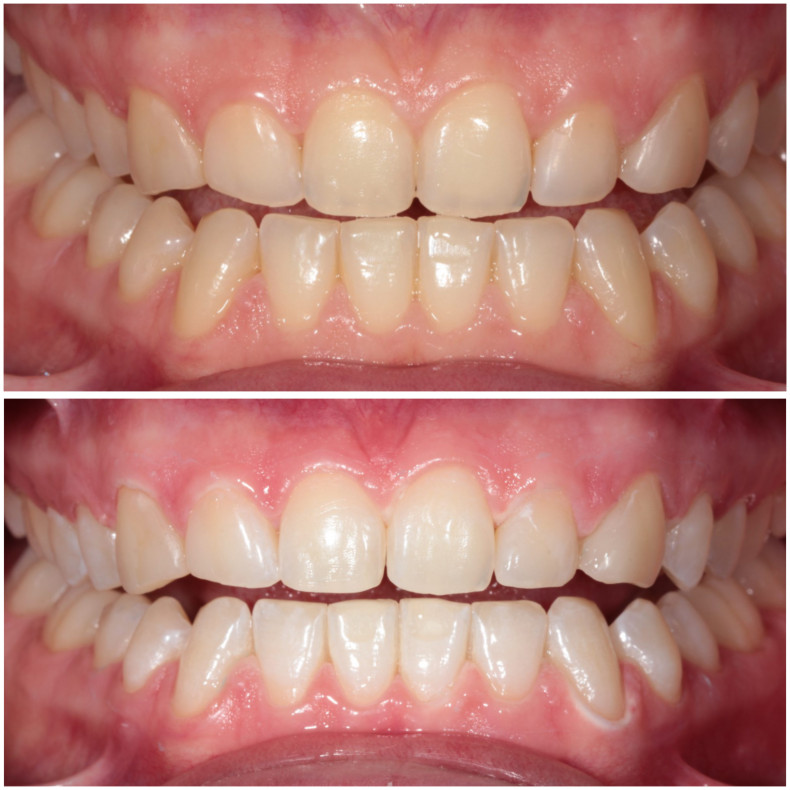
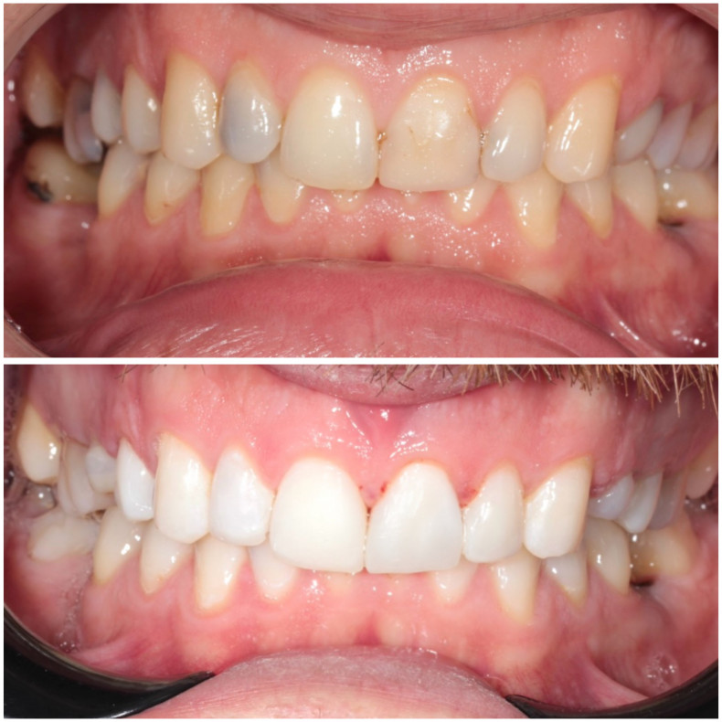
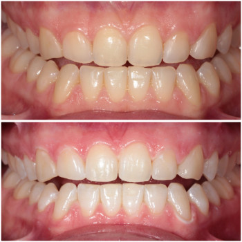
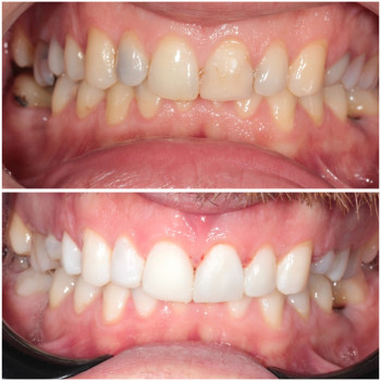
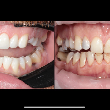
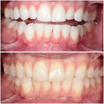
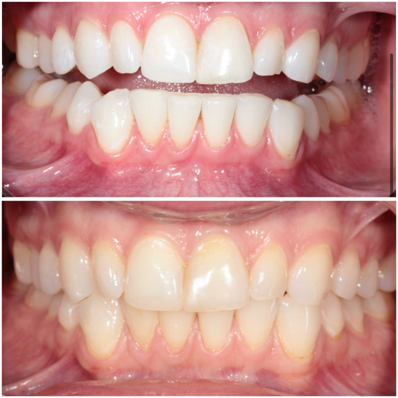
Відбілювання зубів Beyond у стоматології VA Clinic це чудовий спосіб отримати білосніжну усмішку, яка підвищить вашу впевненість і позитивно вплине на ваше життя. За допомогою професіоналів та сучасних технологій ви зможете досягти бажаного результату швидко та безпечно. Якщо ви готові зробити перший крок до нової усмішки, записуйтеся на консультацію в VA Clinic вже сьогодні!

Посмішка  це одна з найперших речей, які люди помічають у нас. Білосніжні зуби не лише прикрашають обличчя, але і підвищують нашу впевненість у собі. У цій статті ми розглянемо, чому відбілювання зубів Beyond є чудовим вибором для тих, хто мріє про ідеальну усмішку, а також розповімо про стоматологію VA Clinic, де ви можете отримати цю процедуру.

Що таке відбілювання зубів Beyond?

Відбілювання зубів Beyond – це сучасна стоматологічна процедура, яка дозволяє досягти помітного результату за короткий час. Використовуючи передові технології та безпечні компоненти, цей метод допомагає видалити плями та зубний наліт, що накопичуються внаслідок споживання кави, чаю, червоного вина та інших продуктів.

Як працює цей процес?

Процедура відбілювання зубів Beyond відбувається в кілька етапів:

  1. Консультація: Перш ніж почати процедуру, стоматолог проводить консультацію, щоб оцінити стан ваших зубів і обговорити ваші очікування.
  1. Підготовка: Стоматолог очищає зуби від нальоту та рекомендує використовувати захисні засоби для ясен.
  1. Відбілювання: Наноситься спеціальний гель, що містить перекис водню. Потім на зуби направляється світло, яке активує гель, що прискорює процес відбілювання.
  1. Завершення: Після закінчення процедури стоматолог надає рекомендації щодо догляду за зубами та підтримки отриманого результату.

Переваги відбілювання зубів Beyond

  1. Швидкість результату: Процедура займає всього 30-60 хвилин, і ви можете побачити результати відразу.
  1. Безпека: Методи, що використовуються в Beyond, є безпечними для зубів та ясен, а також мають мінімальний ризик виникнення чутливості.
  1. Довговічність: Результати відбілювання можуть тривати від кількох місяців до кількох років, залежно від вашого способу життя та догляду за зубами.
  1. Зручність: Процедура виконується під контролем стоматолога, що забезпечує максимальний комфорт та ефективність.

Чому обрати стоматологію VA Clinic?

Стоматологія VA Clinic відзначається високим рівнем обслуговування та професіоналізму. Ось кілька причин, чому варто обрати саме цю клініку:

  1. Кваліфіковані спеціалісти: У клініці працюють досвідчені стоматологи, які регулярно проходять навчання та вдосконалення своїх навичок.
  1. Сучасне обладнання: VA Clinic оснащена новітнім обладнанням, що дозволяє виконувати процедури з максимальною точністю та безпекою.
  1. Індивідуальний підхід: Кожен пацієнт отримує персоналізований план лікування, що відповідає його потребам та очікуванням.
  1. Комфортна атмосфера: У клініці створено затишну атмосферу, де пацієнти можуть почуватися спокійно та комфортно.

Підготовка до відбілювання

Перед тим як записатися на процедуру, важливо підготуватися. Ось кілька порад:

  1. Проконсультуйтесь зі стоматологом: Обговоріть свої очікування та запитання на консультації.
  1. Догляд за зубами: Перед процедурою рекомендується пройти профілактичну чистку у стоматолога.
  1. Визначте свій стиль життя: Якщо ви курите або вживаєте багато продуктів, які можуть забруднити зуби, подумайте про зміни, щоб максимально продовжити ефект відбілювання.

Догляд після відбілювання

Після процедури важливо дотримуватися кількох простих рекомендацій для підтримки білосніжної усмішки:

  1. Уникайте фарбувальних продуктів: Протягом перших днів після відбілювання уникайте кави, чаю, червоного вина та інших продуктів, які можуть забруднити зуби.
  1. Регулярна гігієна: Чистіть зуби двічі на день і не забувайте про використання зубної нитки.
  1. Регулярні відвідини стоматолога: Заплануйте регулярні огляди у стоматолога для підтримки здоров’я зубів.

Видео процедуры (1)

Стоматолог проводить відбілювання зубів Beyond.

Аліна Вакульчук Видео - 1 Приглашаем вас в VA Clinic - ваш выбор для комфортного и высококачественного стоматологического лечения. Наша клиника предоставляет лучшие условия, передовые технологии, высококвалифицированный медицинский персонал и комплексный подход к каждому пациенту. Что делает нас лучшими? Опытный и внимательный персонал: В VA Clinic работает команда высококвалифицированных стоматологов и медицинских специалистов, всегда готовых оказать вам персональное внимание и профессиональный уход. Современное оборудование: Наша клиника оснащена передовым медицинским оборудованием, включая современный компьютерный томограф Planmeca ProMax 3D Classic. Это позволяет нам проводить диагностику на высочайшем уровне, учитывая анатомические особенности ваших зубов и корней. Инновационные технологии: В VA Clinic мы всегда на шаг впереди в области стоматологии. Используя внутриротовой 3D-сканер, мы ускоряем процесс и облегчаем создание отпечатков, обеспечивая вам быстрые и точные результаты. Наш Фотопротокол позволяет зафиксировать и наглядно продемонстрировать эстетику вашей улыбки на разных этапах работы. Постоянное следование инновациям: Мы всегда следим за последними новинками и технологическими достижениями в области стоматологии, чтобы предоставлять нашим пациентам лучшие возможные услуги. Квалифицированные специалисты: Наш персонал обладает обширным опытом в области стоматологии и всегда готов найти креативные решения для любой стоматологической задачи. Выберите VA Clinic для максимального комфорта, безопасности и высокого качества стоматологического лечения. Мы гордимся тем, что помогаем нашим пациентам поддерживать здоровую улыбку и наслаждаться ее красотой. Сделайте первый шаг к здоровым зубам и обратитесь к нам сегодня!
График работы
Пн 10:00 – 20:00
Вт 10:00 – 20:00
Ср 10:00 – 20:00
Чт 10:00 – 20:00
Пт 10:00 – 20:00
Сб Выходной
Вс Выходной
Смотреть на карте   Записаться

Вы владелец?


к управлению страницей

Нашли ошибку?