Хмельницкий

Профессиональная гигиена и чистка зубов - от 2500 грн

(Стоматологическая клиника VA Clinic, Хмельницкий)

от 2500 грн

за процедуру

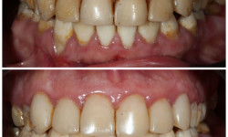
Комплексное очищение зубов от налета и камня. Профилактика кариеса и заболеваний десен.

Имплантация зубов — это успешный и надежный метод восстановления одного или нескольких врезанных зубов шляхом встановления титановых имплантатов в кистовую ткань. Решение проблемы ухода за пациентами происходит из-за частой чувствительности зубов, а также в то время, когда нужно установить съемные протезы для большего комфорта и длительного времени.

Показаниями являются травмы зуба, кариес или возникновение. Перед процедурой проводят диагностику, чтобы убедиться в том, что она является чистоплотной тканью. Противоказания могут включать в себя внутренние запальные процессы, тяжесть системы или недостаточную герметичность кисток (в серьёзных последствиях проведения кистовой пластмассы).

Профессиональные гігієна зубі это комплекс процедур, направленных на вид зубного нароста, пигментации и твёрдого зубного камня. Считается предпочтительным 1–2 раза для профилактики кариеса, гингивита и пародонтита. Подходить дорослим и детям, а также пациентам перед удалением или ортодонтическим лечением. Протипоказаниями можно провести домашний закрытый процесс в ротовой полости. Результат быстрое дыхание, гладкая эмаль, здоровая ясность и снижение ризику стоматологических услуг.

Видео процедуры (2)

VA Clinic Видео - 1 Стоматология для всей семьи. Комплексные услуги для разных возрастных групп пациентов. Ваша улыбка - наш приоритет! Мы работаем над созданием идеальной улыбки для пациентов, чьи естественные зубы нуждаются в замене. Мы работаем над созданием идеальной улыбки для пациентов, чьи естественные зубы нуждаются в замене.
VA Clinic Видео - 2 Стоматология для всей семьи. Комплексные услуги для разных возрастных групп пациентов. Ваша улыбка - наш приоритет! Мы работаем над созданием идеальной улыбки для пациентов, чьи естественные зубы нуждаются в замене. Мы работаем над созданием идеальной улыбки для пациентов, чьи естественные зубы нуждаются в замене.

Вы владелец?


к управлению страницей

Нашли ошибку?