Львов

Христина Иванец (Львов)

Стоматолог

Главное о специалисте

Основная специальность: Стоматолог

Дополнительные специализации: Ортодонт, детский стоматолог

Ключевые направления: стоматология

✅️ Формат работы: Стоматологическая клиника "DokOk" по адресу пл. Старий Ринок, 7

Имеет профиль на Barb c 23.01.2025 (10 месяцев)

  Просмотры: 252

  Звонков: 7

Услуги и цены доктора Христина Иванец (7)

Стоматология (7)
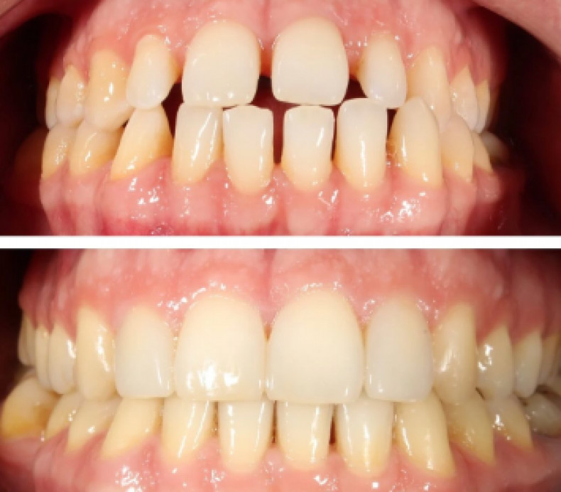
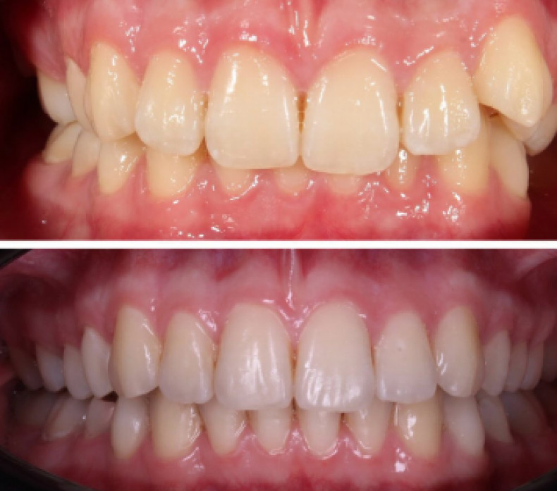
Ортодонтия ✔️
Ретейнеры 3800 грн.
Установка брекетов ✔️
Керамические брекеты 17500 грн.
Металлические брекеты 12500 грн.
Самолигирующие брекеты от 16000 грн.
Элайнеры от 71400 грн.
Подключить тариф

Христина Иванец

Брекеты, элайнеры. Взрослая ортодонтия. Детская - дизайнерские аппаратики. Сопровождаю процесс лечения от начала до конца, обеспечивая комфорт и высокое качество результата.

Адрес

Стоматологическая клиника "DokOk"
Украина, Львовская область, Львов, Шевченковский р-н, пл. Старий Ринок, 7
   Показать график работы
Нет четкого графика
Показать контакты мастера

Адреса салона

Стоматологическая клиника "DokOk"

Львов,  Шевченковский р‑н, пл. Старий Ринок, 7
Показать график работы
Нет четкого графика

Вы владелец?


к управлению страницей

Нашли ошибку?