Мукачево

Установка нейлоновых протезов в Мукачево


на Barb уже 64 месяца

Стоматологическая клиника
"«Lohoida Dental» стоматологія"
Мукачево,
вулиця Яна Амоса Коменського, 45

Смотреть на карте
9.6 баллов
112 звонков

🎁 Cкидка 5% по промокоду Barb
7044

Нужны клиенты?

Разместить услуги

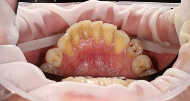
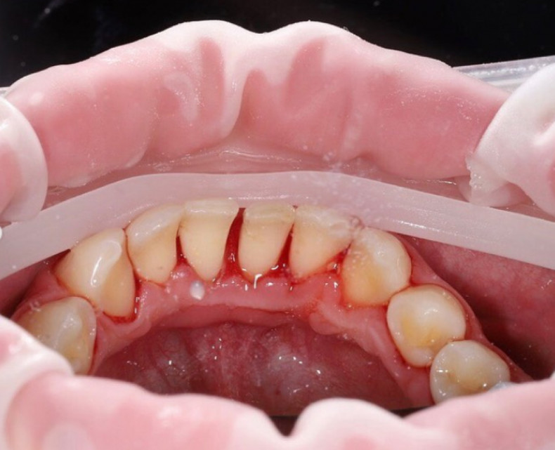
Сколько стоит нейлоновые протезы в Мукачево

✅ Стоматолог Деніель Логойда 4500 грн

Гибкие нейлоновые протезы рядом со мной

Украина, Закарпатская область, Мукачево

20-4500 UAH

Оценка 4.8 на основе 71 Google отзывов

Оставить отзыв в Google

Гибкие нейлоновые протезы в соседних городах:


Добавить услуги