Знайди свого майстра краси
Кривий Ріг

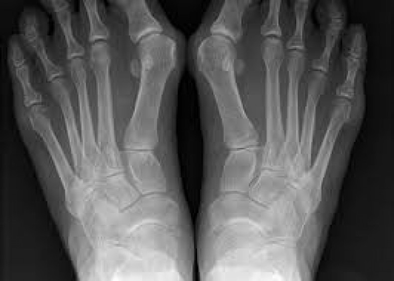
Вальгусна деформація першого пальця на стопі. - 600 грн

(Кінезітерапевт Сергей, Кривий Ріг)

600 грн

за процедуру

Шишка на нозі, бурсит або вальгусна деформація першого пальця – найчастіша патологія стопи. Розвивається внаслідок відхилення великого пальця у бік інших, що супроводжується травматизацією суглоба. У відповідь на травму на ньому утворюється кістковий нарі

Симптоми патології

  • Викривлення великого пальця, зміна його положення стосовно анатомічної осі та інших пальців стопи.
  • Формування шишки, мозолі в ділянці випираючої кісточки суглоба.
  • Почервоніння, набряк, припухлість "кісточки".
  • Біль, печіння у суглобі внаслідок запалення бурси (суглобової сумки, заповненої синовіальною рідиною) – при ходьбі, носінні тісного взуття.
  • Проблеми з підбором взуття, неможливість носіння модельних черевиків.
  • Причини: Компесаторне вкорочення мяза. який відповідає за розгинання великого пальця ноги.
Графік роботи
Пн Вихідний
Вт 09:00 – 17:00
Ср 09:00 – 17:00
Чт 08:00 – 17:00
Пт 08:00 – 17:00
Сб 08:00 – 17:00
Вс 17:00 – 17:00
Приватний кабінет
Кривий Ріг, Покровський р-н,
Федора Караманиць (Ватутина) 72, кв.2
Дивитися на карті   Записатись

Ви власник?


до управління сторінкою

Знайшли помилку?