Львів

Анна Казнох (Львів)

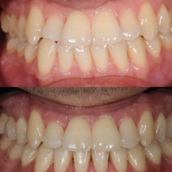
Ортодонт

Головне про специалиста

Основна спеціальність: Ортодонт

Додаткові спеціалізації: Стоматолог, дитячий стоматолог

Ключові напрямки: стоматологічні послуги

✅️ Формат роботи: рганізація за адресою Маєра Балабана, 9

Має профіль на Barb з 22.01.2025 (1 рік i 4 місяці)

  Перегляди: 121

  Дзвінків: 100

Послуги і ціни доктора Анна Казнох (12)

Стоматологічні послуги (12)
Ортодонтія ✔️
Установка брекетів ✔️
Керамічні брекети ✔️
Комбіновані брекети ✔️
Металеві брекети ✔️
Самолігуючі брекети ✔️
Сапфірові брекети ✔️
Зняття брекетів ✔️
Протезування зубів ✔️
Вініри ✔️
Коронки ✔️
З'ємні протези ✔️
Підключити тариф

Анна Казнох

Ортодонтичне лікування дорослих та дітей. Красиві та функціональні посмішки. Детальний аналіз кожного випадку. 

Адреса доктора

рганізація
Україна, Львівська, Львів, Шевченківський р-н, Маєра Балабана, 9
   Показати графік роботи
Немає чіткого графіку
Показати контакти майстра

Адреси салону

рганізація

Львів,  Шевченківський р‑н, Маєра Балабана, 9
Показати графік роботи
Немає чіткого графіку

Ви власник?


до управління сторінкою

Знайшли помилку?