(Стоматолог Юрій, Львів)
за процедуру
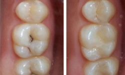
Ендодонтичне лікування
Ви власник?
Знайшли помилку?
Все стоматологів у Львові
Знижки до 80% від салонів і майстрів!
Удалите из текста слово:
Для использования названия торговой марки Endosphere отправьте модератору серийный номер оборудования и фото сертификата на почту:
{{ city.name }}