Львів

Реатаврація зуба - 1200 грн

(Стоматолог , Львів)

1200 грн

за процедуру

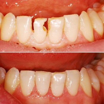
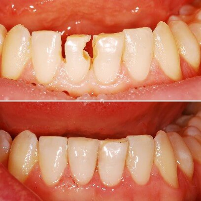
Реставрація зуба

Реставрація зуба — це відновлення форми, кольору, функції та естетики пошкодженого або зруйнованого зуба за допомогою спеціальних стоматологічних матеріалів.

 

? Мета реставрації — зробити зуб знову цілісним, красивим і міцним, ніби він «рідний».

 

В закладі:
Львів, Шевченківський р-н,
Львів
ще 1 адреса

Шевченківський р-н

Варшавська 64

Дивитися на карті   Записатись

Ви власник?


до управління сторінкою

Знайшли помилку?