Львів

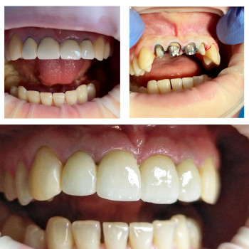
Протезування коронками, містками - 2500 грн

(Стоматолог-хірург Олександр, Львів)

2500 грн

за процедуру

Протезування коронками потребується при: втрата форми зуба, руйнація карієсом, великі застарілі реставрації, зміна кольору зуба, заміна форми зуба, збереження зуба як одиниці

Сучасні коронки виготовляються з різноманітних матеріалів в залежності від вимог. Підготовка зубів під коронки є повністю безболісною і проводиться за один візит. Виготовлення коронок (містків) займає до 5 днів. Фіксація коронок проводиться на спеціальний сучасний фіксуючи композит, що гарантує довговічність фіксації конструкції.

Графік роботи
Пн 10:00 – 16:00
Вт 10:00 – 16:00
Ср 10:00 – 16:00
Чт 10:00 – 16:00
Пт 10:00 – 16:00
Сб 11:00 – 14:00
Вс Вихідний
В закладі:
Львів, Франківський р-н,
Горбачевського 15
Дивитися на карті   Записатись

Ви власник?


до управління сторінкою

Знайшли помилку?