Київ

Ярослав Тарасевич (Київ)

Стоматолог

Головне про специалиста

Основна спеціальність: Стоматолог

Ключові напрямки: стоматологічні послуги

✅️ Формат роботи: рганізація за адресою Ярославская, 6, (м. Контрактова площа)

Має профіль на Barb з 23.10.2020 (5 років i 6 місяців)

  Перегляди: 384

  Дзвінків: 1

Послуги і ціни доктора Ярослав Тарасевич (9)

Консультація 200 грн.
Стоматологічні послуги (9)
Рентген зубів 100 грн.
Професійна чистка зубів від 1500 грн.
Відбілювання зубів від 3500 грн.
Лікування каналів від 1500 грн.
Реставрація зубів від 1500 грн.
Тимчасова пломба 150 грн.
Установка фотополімерної пломби від 700 грн.
Керамічні коронки ✔️
Металокерамічні коронки від 5000 грн.
Підключити тариф

Ярослав Тарасевич

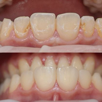
Тарасевич Ярослав Васильевич. Практика с 2011 г. Домашнее и офисное отбеливание. Лечение заболеваний десен. Профилактический осмотр и гигиена полости рта. Кариозные и некариозные поражения твёрдых тканей зуба. Лечение воспалительных процессов пульпы и периодонтитов. Травмы и проблемы прикуса. А также многое другое.

Адреса доктора

рганізація
Україна, Київська, Київ, Подільський р-н, Ярославская, 6
   Контрактова площа
   Показати графік роботи
Немає чіткого графіку


Показати контакти майстра

Адреси салону

рганізація

M Контрактова площа
Київ,  Подільський р‑н, Ярославская, 6
Показати графік роботи
Немає чіткого графіку

Ви власник?


до управління сторінкою

Знайшли помилку?