Київ

Професійна гігієна - від 2250 грн

(Стоматолог Надія, Київ)

від 2250 грн

за процедуру

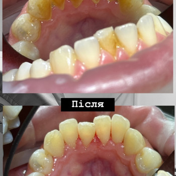
Професійна гігієна зубів – це процедура, яку ми проводимо для повного очищення ротової порожнини від зубного нальоту та каменю. Вона включає ультразвукове зняття каменю, очищення Air-Flow та полірування зубів.

Професійна гігієна зубів – це базова, але надзвичайно важлива процедура, яку ми рекомендуємо проходити кожному пацієнту 1–2 рази на рік. Вона складається з кількох етапів:

 

  1. Ультразвукове зняття каменю – за допомогою спеціального апарата ми акуратно видаляємо тверді відкладення, що неможливо зробити щіткою вдома.
  2. Очищення системою Air-Flow – дрібні частинки порошку під тиском води та повітря видаляють пігментацію від кави, чаю, цигарок і повертають зубам природний колір.
  3. Полірування зубів – робить поверхню гладенькою, щоб наліт осідав значно повільніше.
  4. Фторування або ремінералізація (за потреби) – для зміцнення емалі та зниження чутливості.

 

 

Результат – чисті, гладкі, світліші зуби, свіже дихання та головне – профілактика карієсу, пародонтиту й інших стоматологічних проблем.

 

✨ Регулярна професійна гігієна – це найкраща інвестиція у здорову та красиву усмішку.

 

Графік роботи
Пн 08:00 – 17:00
Вт 08:00 – 17:00
Ср 08:00 – 17:00
Чт 08:00 – 17:00
Пт 08:00 – 17:00
Сб Вихідний
Вс Вихідний
В закладі:
Київ, Шевченківський р-н,
ЖК Файна Таун (Салютна 2)
Дивитися на карті   Записатись

Ви власник?


до управління сторінкою

Знайшли помилку?