Київ

Художня реставрація - від 2400 грн

(Стоматолог Надія, Київ)

від 2400 грн

за процедуру

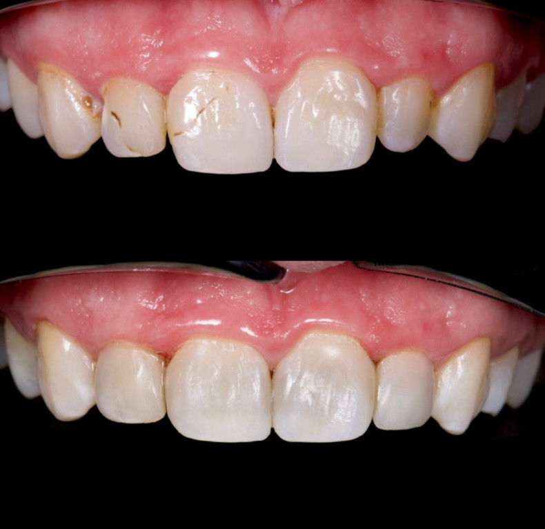
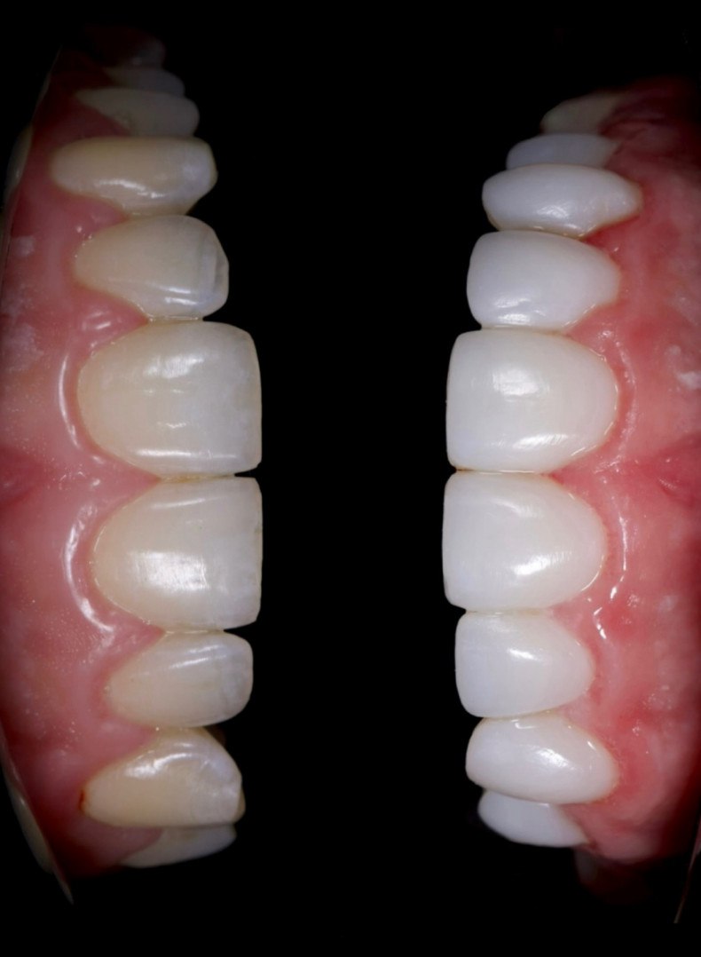
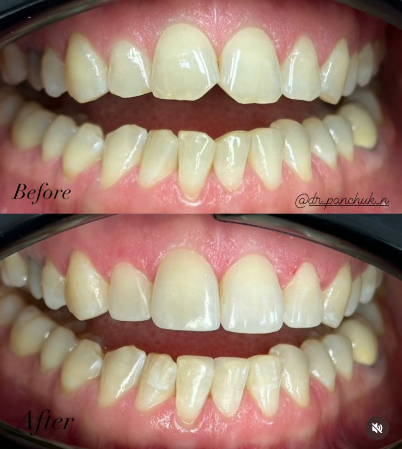
Художня реставрація зубів – це відновлення їх форми, кольору та прозорості так, щоб вони виглядали максимально природно. Процедура проводиться під мікроскопом, що забезпечує точність і довговічність, та із застосуванням преміальних матеріалів, які відтвор

Художня реставрація зубів – це комплексне відновлення форми, кольору та прозорості зубів так, щоб вони виглядали природно і гармонійно з усмішкою пацієнта.

 

? Точність під мікроскопом: робота проводиться під великим збільшенням, що дозволяє контролювати кожен етап реставрації і працювати максимально щадно, зберігаючи здорові тканини зуба.

 

? Преміальні матеріали: використовую сучасні композити найвищого класу, які повторюють природний колір, прозорість та гру світла на емалі. Це забезпечує естетичний результат, що не відрізняється від природних зубів.

 

? Відновлення функції: форма зуба відтворюється так, щоб він правильно замикався у прикусі та витримував жувальне навантаження, що важливо для здоров’я щелеп та довговічності реставрації.

 

? Індивідуальний підхід: враховую форму обличчя, посмішку та побажання пацієнта, щоб усмішка виглядала природною та гармонійною.

 

У результаті пацієнт отримує не тільки красиву, але й повноцінно функціональну усмішку, з довготривалим та природним ефектом.

 

Графік роботи
Пн 08:00 – 17:00
Вт 08:00 – 17:00
Ср 08:00 – 17:00
Чт 08:00 – 17:00
Пт 08:00 – 17:00
Сб Вихідний
Вс Вихідний
В закладі:
Київ, Шевченківський р-н,
ЖК Файна Таун (Салютна 2)
Дивитися на карті   Записатись

Ви власник?


до управління сторінкою

Знайшли помилку?