Одеса

Художня реставрація - 2000 грн

(Стоматолог Віолета, Одеса)

2000 грн

за процедуру

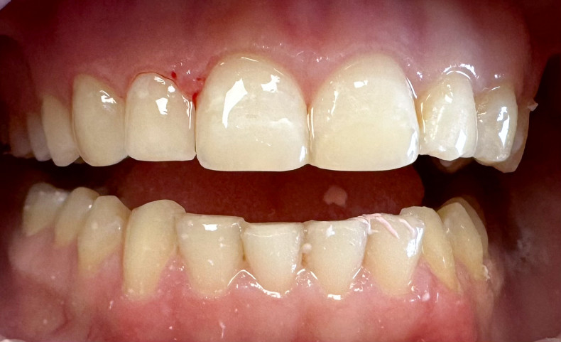
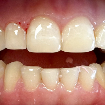
Художня реставрація передньої групи зубів. Займає 50-60 хвилин. Для відновлення анатомічної та естетичної форми зуба, використовуються сучасні високоестетичні композитні матеріали.

Художня реставрація передньої групи зубів (композитні вініри).

Займає 50-60 хвилин. 

Для відновлення анатомічної та естетичної форми зуба, використовуються сучасні високоестетичні композитні матеріали. 

 

Для відновлення анатомічної та естетичної форми зуба, використовуються сучасні високоестетичні композитні матеріали. 

 

 

Графік роботи
Пн 08:00 – 17:00
Вт 08:00 – 17:00
Ср 08:00 – 17:00
Чт 08:00 – 17:00
Пт 08:00 – 17:00
Сб Вихідний
Вс Вихідний
В закладі:
Одеса, Малиновський р-н,
Балківська, 42А
Дивитися на карті   Записатись

Ви власник?


до управління сторінкою

Знайшли помилку?