Одеса

Професійне чищення зубів - 2000 грн

(Стоматолог Елена, Одеса)

2000 грн

за процедуру

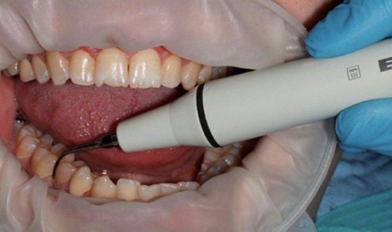
Професійне чищення зубів

Професійна гігієна порожнини рота у стоматолога. Чищення зубів ультразвуком, сучасний апарат, чищення пастой, обробка фтором-профілактика виникнення карієсу. Також до процедури додається безкоштовна консультація лікаря з приводу необхідного лікування та догляду за зубами. 

Графік роботи
Пн Вихідний
Вт 08:00 – 17:00
Ср Вихідний
Чт 08:00 – 17:00
Пт Вихідний
Сб 08:00 – 17:00
Вс 08:00 – 17:00
В закладі:
Одеса, Суворовський р-н,
вулиця 28-ї Бригади, 2
Дивитися на карті   Записатись

Ви власник?


до управління сторінкою

Знайшли помилку?