Полтава

Лікування карієсу, реставрація зубів, нарощення зубів - від 700 грн

(Стоматолог Юлия Николаевна, Полтава)

від 700 грн

за процедуру

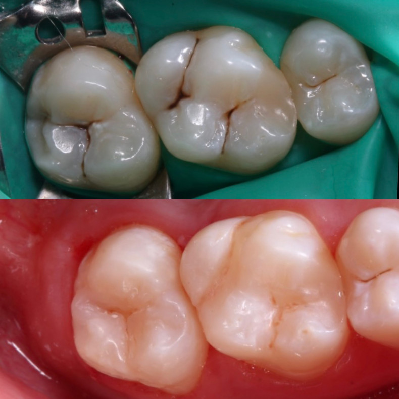
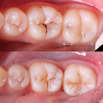
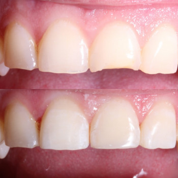
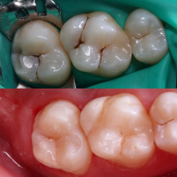
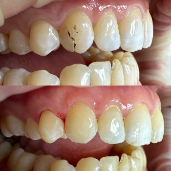
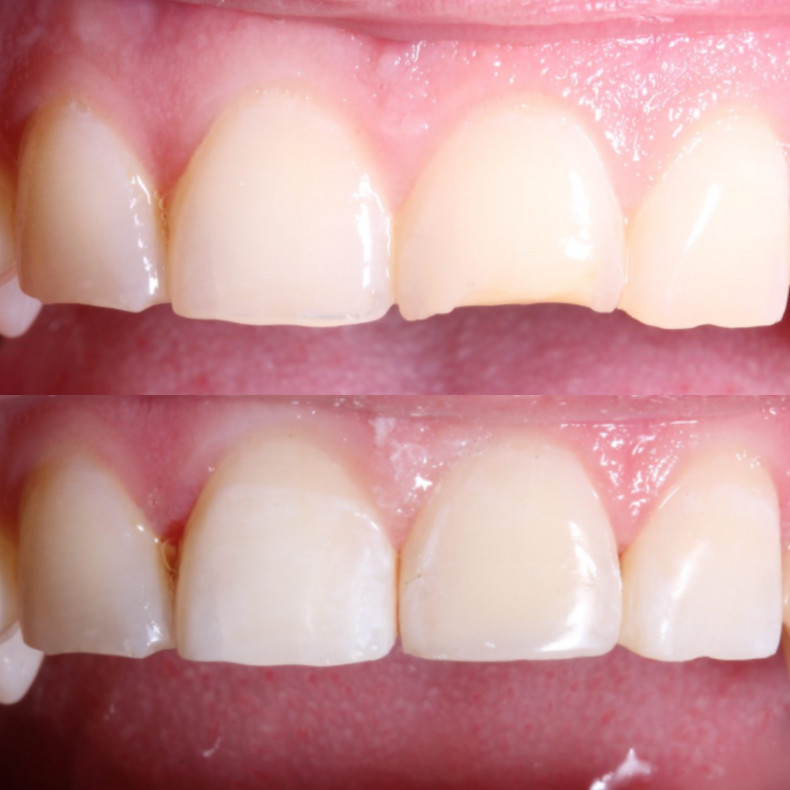
Лікування карієсу


Що таке карієс?

Карієс (або «зубна порожнина») — це інфекційне захворювання, викликане бактеріями, які живуть у зубному нальоті. Ці бактерії перетворюють цукри з їжі на органічні кислоти, які роз'їдають мінерали емалі та дентину, створюючи порожнини.

Мета лікування карієсу

Головна мета — зупинити розвиток захворювання та відновити функцію та форму зуба, запобігши його подальшому руйнуванню та втраті.
 

Етапи лікування карієсу:

1. Діагностика та огляд

· Візуальний огляд: Лікар оцінює стан зубів.

2. Анестезія (знеболення)

· Проводиться майже завжди, щоб лікування було повністю комфортним і безболісним для пацієнта. Використовуються сучасні місцеві анестетики.

3. Ізоляція зуба від вологи

· Це дуже важливий етап для якості та довговічності пломби. Використовують:
  · Кофердам: Латексний або силіконовий платок, який ізолює зуб від слини та вологи. Це "золотий стандарт" у сучасній стоматології.

4. Препарування:

· За допомогою бормашини лікар видаляє всі пошкоджені, розм'якшені та інфіковані тканини зуба.
· Чому не можна просто "замазати" карієс? Інфіковані тканини містять бактерії. Якщо їх залишити, процес гниття продовжиться під пломбою, що призведе до ускладнень (пульпіт, періодонтит) і втрати зуба.
· Важливо видалити тільки пошкоджені тканини, максимально зберігши здорові.

5. Встановлення пломби

· Це етап відновлення зуба. Використовуються сучасні фотополімерні матеріали.

6. Фінішна обробка

· Після встановлення пломбу підшліфовують і полірують, щоб:
  · Надати їй анатомічну форму для правильного змикання зубів (оклюзії).
  · Усунути шорсткість та забезпечити гладкість, щоб на пломбі не затримувався наліт.
  · Полірування робить пломбу блискучою та естетичною.

 

Підсумок: що дає лікування карієсу?

· Зупиняє процес руйнування зуба.
· Запобігає розвитку болю та серйозних ускладнень (пульпіт, періодонтит, кістка, флюс).
· Відновлює жувальну функцію та естетику.
· Дозволяє зберегти власний зуб на багато років.

Графік роботи
Пн 09:00 – 19:00
Вт 09:00 – 19:00
Ср 09:00 – 19:00
Чт 09:00 – 19:00
Пт 09:00 – 19:00
Сб 09:00 – 15:00
Вс Вихідний
В закладі:
Полтава, Київський р-н,
Вул. Юліана Матвійчука 28
Дивитися на карті Зв'язатися

Ви власник?


до управління сторінкою

Знайшли помилку?