Рівне

Професійна гігієна ротової порожнини - від 900 грн

(Стоматолог Вікторія, Рівне)

від 900 грн

за процедуру

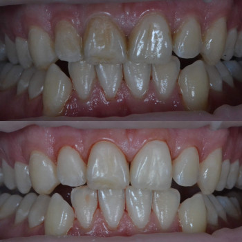
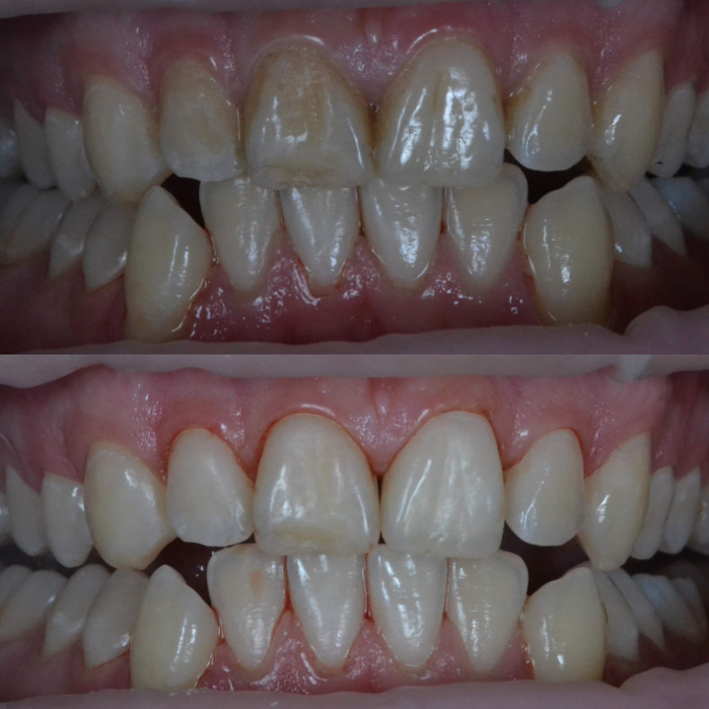
Професійна гігієна ротової порожнини

Під час процедури використовую сучасний апарат Швейцарського виробника EMS AIRFLOW® Prophylaxis Master

Спочатку видаляємо тверді зубні відкладення тобто (зубний камінь) ультразвуком.

Потім системою Air-Flow видаляємо мякий та пігментований наліт

Графік роботи
Пн 10:00 – 17:00
Вт 10:00 – 17:00
Ср 10:00 – 17:00
Чт 10:00 – 17:00
Пт 10:00 – 17:00
Сб 10:00 – 17:00
Вс Вихідний
Дивитися на карті   Записатись

Ви власник?


до управління сторінкою

Знайшли помилку?