Рівне

Композитні вініри - від 2000 грн

(Стоматолог Вікторія, Рівне)

від 2000 грн

за процедуру

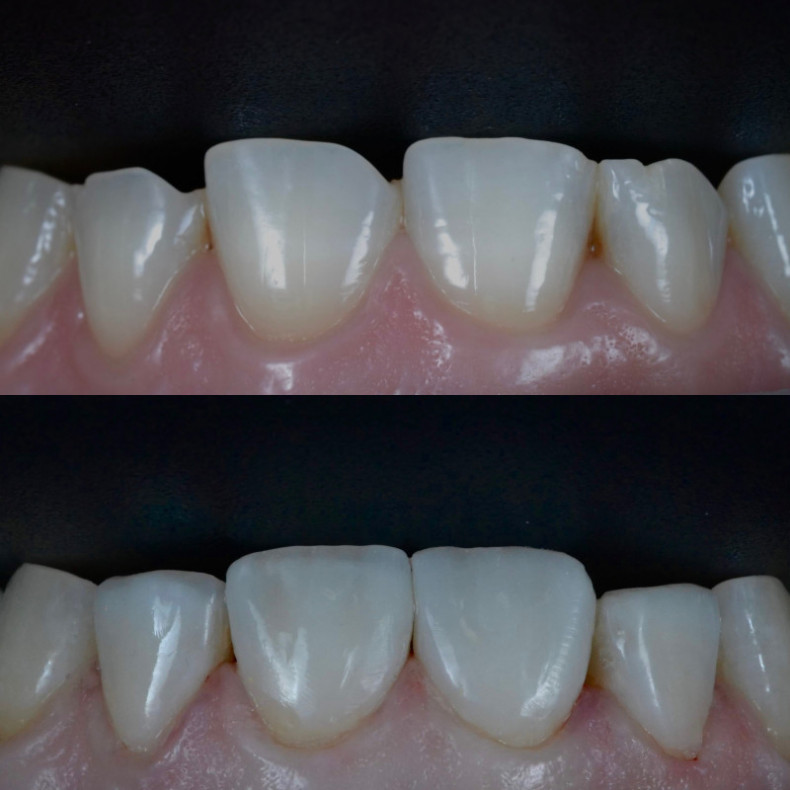
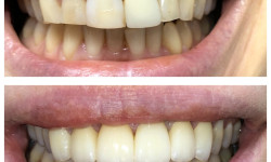
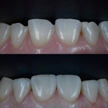
Композитні вініри - це накладки з фотополімерного матеріалу (композиту), що фіксуються на зовнішню поверхню передніх зубів, з метою корекції їх форми, кольору і розміру.

Процес установки займає від 60 хвилин до 2-3 годин. Для пацієнта проходить без болю і схожий з установкою фотополімерною пломби. Спочатку відбувається обробка емалі, щоб зчіпка сталася більш якісно. Далі емаль протравлюють кислотою. Після стоматолог ставить композит. На фініші обробляється бором там спеціальними полірувальними головками та чашечками щоб все було максимально рівно,красиво та природньо.

Графік роботи
Пн 10:00 – 17:00
Вт 10:00 – 17:00
Ср 10:00 – 17:00
Чт 10:00 – 17:00
Пт 10:00 – 17:00
Сб 10:00 – 17:00
Вс Вихідний
Дивитися на карті   Записатись

Ви власник?


до управління сторінкою

Знайшли помилку?