Рівне

Лікування карієсу - від 500 грн

(Стоматолог Борис, Рівне)

від 500 грн

за процедуру

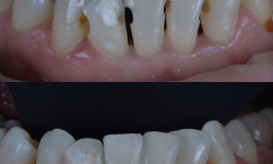
ЛІкування карієсу з використанням сучасних матеріалів та протоколів лікування.

Лікування карієсу зазвичай включає декілька етапів. Вони можуть відрізнятися в залежності від ступеня пошкодження зуба та методу лікування. Основні етапи лікування карієсу включають:

  1. Діагностика: дослідження стоматологом стану зубів та історії хвороби. Це може включати рентгенівське дослідження, щоб виявити пошкодження зуба, які не можуть бути помічені на поверхні.

  2. Підготовування зуба: зуб, що пошкоджений карієсом, зазвичай очищається від м'яких тканин і підготовлюється до лікування. Якщо карієс був досить глибоким, може знадобитися проведення ендодонтичного лікування..

  3. Відновлення зуба: зуб ізолюється від слини та відновлюється фотопліменим матеріалом високої якості.

  4. Профілактика: для запобігання подальшого розвитку карієсу, слід вживати заходи щодо профілактики карієсу, такі як регулярна гігієна порожнини рота, здорове харчування, обмеження вживання цукру та регулярні візити до стоматолога для планового обстеження та профілактичного лікування.

В загальному, лікування карієсу дуже важливо для здоров'я зубів та їх довговічності. Раннє виявлення та лікування карієсу може запобігти серйозним проблемам у майбутньому.

Графік роботи
Пн 08:00 – 17:00
Вт 08:00 – 17:00
Ср 08:00 – 17:00
Чт 08:00 – 17:00
Пт 08:00 – 17:00
Сб Вихідний
Вс Вихідний
Дивитися на карті   Записатись

Ви власник?


до управління сторінкою

Знайшли помилку?