Основна спеціальність: Ортодонт
Додаткові спеціалізації: Стоматолог
💼 Досвід роботи: 9 років (з 2017 року)
Ключові напрямки: стоматологічні послуги
✅️ Формат роботи: Стоматологія "SmartDental" за адресою Кошицька 33
Має профіль на Barb з 17.08.2022 (3 роки i 9 місяців)
Перегляди: 186
Дзвінків: 101
| Консультація 400 грн. |
|---|
| Стоматологічні послуги (9) | |
|---|---|
| Ортодонтія | ✔️ |
| Пластина для вирівнювання зубів | від 5000 грн. |
| Ретейнери | 1000 грн. |
| Установка брекетів | ✔️ |
| Брекети Damon | 19000 грн. / 60 хв |
| Керамічні брекети | 23000 грн. / 60 хв |
| Металеві брекети | 16800 грн. / 60 хв |
| Самолігуючі брекети | 19000 грн. |
| Сапфірові брекети | 23000 грн. / 60 хв |
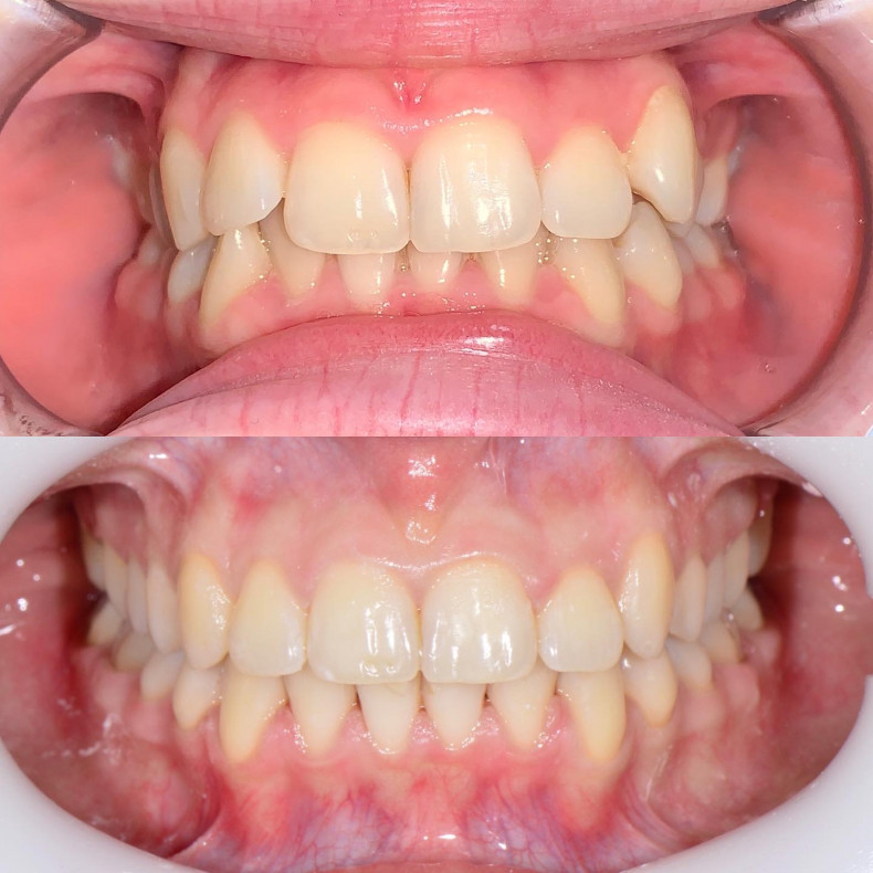
Всі види брекетів, елайнери, ортодонтичні апарати різної складності
|
|
|
24.10.2022 Vasya
Один з найкращих отодонтів!!!
Ціна більш ніж приємна, зрівнюючи з іншими пропіареними ортодонтами. Задоволений на 100%
20.10.2022 Анжеліка
Дуже задоволені роботою лікаря - ортодонта !!!Найкращий ортодонт в Ужгороді!!!
| Ужгород, Лівобережний р‑н, Кошицька 33 | |
|
Показати графік роботи
Немає чіткого графіку
|
|
Ви власник?
Знайшли помилку?
24.10.2024 Вікторія
Хороше ставлення та чудово виконана робота! Я залишилась задоволеною! Всім рекомендую!