Вінниця

Лікування дітей - від 300 грн

(Стоматолог Яна, Вінниця)

від 300 грн

за процедуру

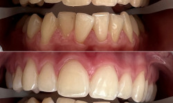
Лікування дітей потребує терпіння та розуміння. Іноді такого підходу потребують і дорослі

Перший візит до стоматолога? Чи можливо вже був, але дитині не сподобалось?
давайте це виправимо разом ) 

Після знайомства зі мною діти зазвичай люблять ходити до стоматолога. 
Іноді строга, а іноді дозволяю побігати по стінах. Це ж ідеально? 

Дитячий стоматолог це людина яка прикладає багато зусиль щоб діткам було комфортно . Швидкість це дуже важливо у  кріслі дитячого стоматолога , тому що іноді (читати як часто ) у діток не вистачає терпіння більше як на 30 хв . 
знаю , вмію , практикую 

Досвід більше 3х років у дитячій стоматології дозволяє лікувати швидко і якісно ) 

Улюблені мультики на стелі ? Легко . А може можна глянути те що мама не дозволяє ? 
один разочок у мене можна ( при умові що не русняве , не хагі-вагі і тому подібне ) 
 

Будьте здорові і чистіть зубки . З радістю зустрінемось на прийомі . 

Немає чіткого графіку
В закладі:
Вінниця, Лівобережний р-н,
Трамвайна 3В
Дивитися на карті   Записатись

Ви власник?


до управління сторінкою

Знайшли помилку?