Запоріжжя

Ця анкета застаріла і буде видалена 27.05.2026.

Якщо Ви власник цієї анкети і хочете відновити доступ, напишіть на [email protected]

Дарья Бабак (Запоріжжя)

Стоматолог

Головне про спеціаліста

Основна спеціальність: Стоматолог

Додаткові спеціалізації: Стоматолог, дитячий стоматолог

Ключові напрямки: стоматологія

✅️ Формат роботи: Клініка

Має профіль на Barb з 10.11.2020 (5 років)

  Перегляди: 1151

  Дзвінків: 43

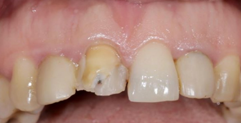
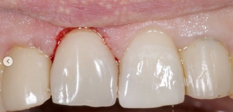
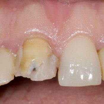
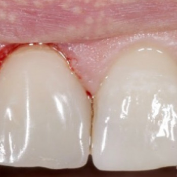
Послуги і ціни доктора Дарья Бабак (9)

Стоматологія (9)
Діагностика зубів ✔️
Професійна чистка зубів ✔️
Лікування зубів ✔️
Лікування карієсу ✔️
Лікування каналів ✔️
Реставрація зубів ✔️
Установка пломби ✔️
Тимчасова пломба ✔️
Пломбування каналів ✔️
Підключити тариф

Дарья Бабак

- Стоматолог-терапевт
- Детский стоматолог

Адрес

Клініка
Україна, Запорізька область, Запоріжжя
   Показати графік роботи
Немає чіткого графіку
Показати контакти майстра

Ви власник?


до управління сторінкою

Знайшли помилку?