Основна спеціальність: Ортодонт
Додаткові спеціалізації: Стоматолог
Ключові напрямки: стоматологія
✅️ Формат роботи: Клініка
Має профіль на Barb з 09.11.2020 (5 років)
Перегляди: 850
Дзвінків: 40
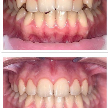
| Стоматологія (10) | |
|---|---|
| Діагностика зубів | ✔️ |
| Ортодонтія | ✔️ |
| Установка брекетів | ✔️ |
| Керамічні брекети | ✔️ |
| Металеві брекети | ✔️ |
| Сапфірові брекети | ✔️ |
| Лінгвальні брекети | ✔️ |
| Пластина для вирівнювання зубів | ✔️ |
| Трейнери | ✔️ |
| Ретейнери | ✔️ |
- Лечение взрослых и детей
- Брекеты, капы, пластинки
|
Ви власник?
Знайшли помилку?
20.05.2022 Света
Мы у Сергея ставили сыну керамические брекеты. Именно их нам рекомендовали и ничуть не пожалели. Хороший доктор и результат понравился так же потом. Правда мы наверно около года в них ходили, зато теперь все зубы ровные, как в Голливуде у актеров. Доктор хорошо поставил и менял без болезненно, когда нужно было менять положение.