Запорожье

Врачи-ортодонты Запорожья

Сортировать
Фильтр
Найдено 1 врач

на Barb уже 44 недели 1 день

Клиника
Запорожье, Днепровский р-н,
проспект Металургів, 5

Смотреть на карте

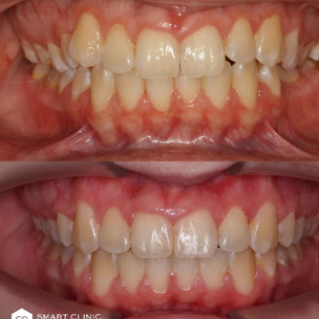
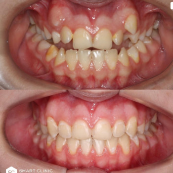
Ортодонтия любой сложности. Исправление прикуса. Установка брекет-систем. Поставить брекет-систему - это не страшно, а наоборот, это важный шаг к вашей здоровой и красивой улыбке!

223

Ортодонт рядом со мной на карте

Украина, Запорожская область, Запорожье

20-120 UAH

Оценка 4.8 на основе 71 Google отзывов

Оставить отзыв в Google