Кам'янське

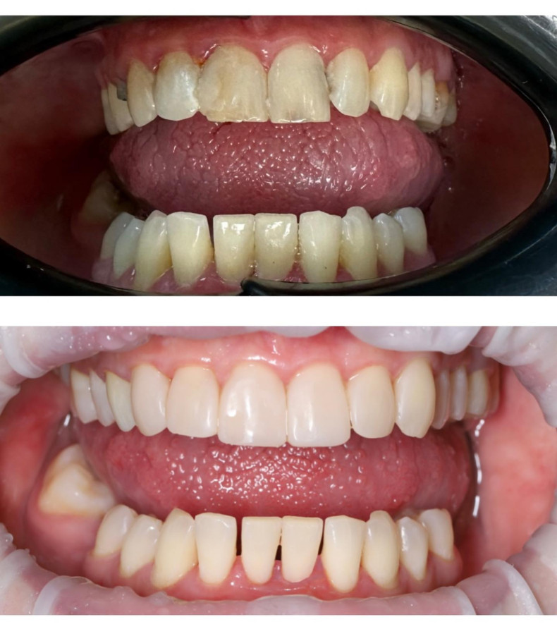
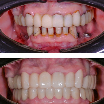
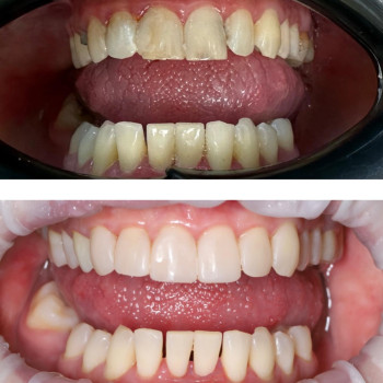
Прямі (композитні) вініри у Кам'янському


Потрібні клієнти?

Розмістити послуги

Композитні вініри поряд зі мною

Україна, Дніпровська область, Кам'янське

20-120 UAH

Оценка 4.8 на основе 71 Google отзывов

Оставить отзыв в Google

Додати послуги