Кропивницький

Майстерня Посмішок (Кропивницький)

Стоматологічна клініка

Головне про організацію

Тип закладу: Стоматологічна клініка

Додатково: Дитяча стоматологія

Ключові послуги: стоматологія

Розташування: Фортечний район

Має профіль на Barb з 17.01.2025 (10 місяців)

  Перегляди: 611

  Дзвінків: 31

Послуги і ціни клініки Майстерня Посмішок (56)

Стоматологія (56)
Діагностика зубів ✔️
Лікування ясен ✔️
Вектор-терапія ✔️
Лікування гінгівіту ✔️
Лікування ясен лазером ✔️
Лікування пародонтиту ✔️
Лікування пародонтозу ✔️
Лікування зубів ✔️
Лікування зубів під мікроскопом ✔️
Лікування каналів ✔️
Лікування карієсу ✔️
Нарощування зубів ✔️
Реставрація зубів ✔️
Установка пломби ✔️
Тимчасова пломба ✔️
Пломбування каналів ✔️
Установка фотополімерної пломби ✔️
Ортодонтія ✔️
Установка брекетів ✔️
Керамічні брекети ✔️
Комбіновані брекети ✔️
Лінгвальні брекети ✔️
Металеві брекети ✔️
Самолігуючі брекети ✔️
Сапфірові брекети ✔️
Зняття брекетів ✔️
Елайнери ✔️
Протезування зубів ✔️
Вініри ✔️
Керамічні вініри ✔️
Композитні вініри ✔️
Коронки ✔️
Тимчасові коронки ✔️
Керамічні коронки ✔️
Металокерамічні коронки ✔️
Зняття коронок ✔️
Цирконієві коронки ✔️
Нарощування зуба на штифт ✔️
З'ємні протези ✔️
Бюгельний протез ✔️
Нейлонові протези ✔️
Установка зубного моста ✔️
Профілактика захворювань зубів ✔️
Професійна чистка зубів ✔️
Чистка зубного каменю ✔️
Чистка зубів Air Flow ✔️
Чистка зубів ультразвуком ✔️
Фторування зубів ✔️
Хірургічна стоматологія ✔️
Імплантація зубів ✔️
Висічення капюшона зуба мудрості ✔️
Лікування кісти зуба ✔️
Синус-ліфтинг ✔️
Видалення зубів ✔️
Естетична стоматологія ✔️
Відбілювання зубів ✔️
Підключити тариф

Майстерня Посмішок

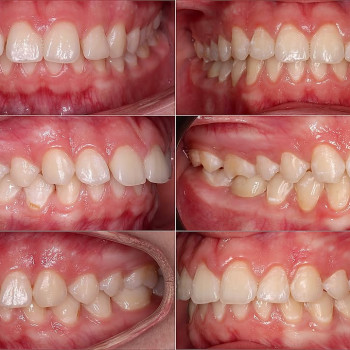
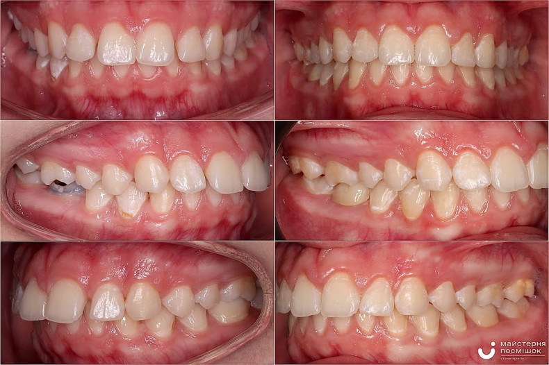
Лікування під мікроскопом. Широкий спектр стоматологічних послуг. Система стерилізації MELAG. Відбілювання системою Beyond.

Адреса клініки

Україна, Кіровоградська область, Кропивницький, Фортечний р-н, Велика Перспективна, 84
   Показати графік роботи
Пн 08:00 – 17:00
Вт 08:00 – 17:00
Ср 08:00 – 17:00
Чт 08:00 – 17:00
Пт 08:00 – 17:00
Сб 08:00 – 17:00
Вс Вихідний
Показати контакти майстра

Адреси салону

1

Кропивницький, Фортечний р-н

Велика Перспективна, 84
Показати графік роботи
Пн 08:00 – 17:00
Вт 08:00 – 17:00
Ср 08:00 – 17:00
Чт 08:00 – 17:00
Пт 08:00 – 17:00
Сб 08:00 – 17:00
Вс Вихідний

Ви власник?


до управління сторінкою

Знайшли помилку?